Saving restorable natural teeth
Key Highlights
- Preserving and restoring broken-down natural teeth can provide better occlusal function, natural tooth movement, and long-term integration within the dental arch compared to implants.
- Dental implants have high success but carry risks like peri-implantitis, require meticulous hygiene, and can be more challenging and costly to maintain over time.
- Step-by-step techniques and materials exist to effectively rebuild compromised vital teeth, often with lower cost and less biological impact than extraction and implant placement.
Each month, Dr. Gordon Christensen answers a question from readers about everyday dentistry.
Q: During a recent dental meeting, I saw a program promoting placing implants instead of restoring broken-down teeth. I was sorry to see the speaker advocating removal of clearly restorable vital teeth and placing implants. Is this concept being taught in dental schools or continuing education? How does the longevity of an implant and crown compare to a typical built-up tooth with a crown on it? After my many years of practice, I would probably prefer to have a properly restored natural tooth than an implant.
A: You have asked a question that I hear frequently from both dentists and patients. Implants are serving millions of patients very well, but they have a downside with several challenges. The main unknowns are peri-implantitis and peri-mucositis, which are well known by clinicians and supported by clinical research to be present in about one-half of implants by about 10 years. The major challenges relating to saving natural teeth are: (1) patients must improve their oral hygiene or whatever caused the tooth breakdown will recur, and (2) some dentists do not build up teeth. My answer to you will discuss both options.
Additional reading: Why should teeth be removed?
Which is better: A natural tooth or an implant?
I have been building up teeth for over 60 years and have been placing and restoring implants for over 40 years. I will provide a real-world empirical summary for you as well as an overview of the scientific clinical research on this controversial topic.
There are numerous differences between natural teeth and implants, significantly occlusion and anatomy.
Broken-down, rebuilt natural teeth that have adequate retention of the buildup material, vital pulps, well-fitting crowns, and healthy periodontium are already a part of the occlusal system. They only have a new “roof” on them, and they can function occlusally in a normal manner. Restored teeth move with the remainder of the teeth 25-100 or more microns when eating, while implants move 3-5 microns or less during chewing. Natural teeth move 10-20 times more than implant-supported crowns, depending on bone density and occlusal forces.1
This significant difference in movement explains why contact areas often open in clinical situations having both natural teeth and implants in the same arch. The natural teeth have moved, but the implant has not significantly moved.
Implants are sometimes more difficult to keep clean because of the narrow implant and the usually larger-diameter crown anatomy.
A recent article in Clinicians Report Foundation’s publication2 compared three-unit fixed prostheses to an implant and a crown. The study used both dentist survey information as well as published research data that directly relates to this article topic. It was apparent that dentist survey respondents preferred an implant, abutment, and crown. In my opinion, this result was related to the perception that more clinical time is required for building up teeth, and there is less revenue to place the conventional dentistry than placing an implant and a crown. This does not have to be so.
Simplified example materials and techniques for building up broken-down vital teeth
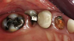
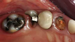
- Tooth characteristics: According to research at Clinicians Report Foundation, when about one-half of the coronal portion of the tooth is missing, it needs a retentive buildup for optimum strength and restoration retention (figures 1 and 2). It is best if root canal treatment is not necessary. Other characteristics: no serious periodontal disease, and the tooth has normal stability. These characteristics are optimum.
- Teeth much more broken-down than described above can be salvaged, but they require more clinical time and dentist expertise.
- The cost of building up teeth usually is less than placing an implant, an abutment, and a crown.
- The treatment time needed is usually more for the implant and crown.
- Provide a dry field: Isolite 3, Dry Shield, Mr. Thirsty, Dentapops, etc.
- Remove peripheral carious material, avoiding the deepest carious areas.
- Remove deepest caries with sharp spoon excavator or slowly rotating round bur.
- Place undercuts, potholes, channels, reinforcement pins on the internal of the prep.
- If any enamel is present, acid-etch it.
- Place two, one-minute applications of glutaraldehyde-containing material: MicroPrime G, Gluma, G5, GluSense, etc.
- Place indirect (nonexposed) pulp cap on the deepest areas of the prep: MTA Flow, TheraCal, Vitrebond Plus, Dycal, etc.
- Place bonding agent and cure: Scotchbond Universal Plus, Universal Bond Quick 2, Adhese, etc.
- Prep and restore direct restoration or make impression for crown.
- Seat crown, preferably with resin-modified glass ionomer: RelyX Luting, FujiCEM Evolve, etc. (figures 3 and 4)
Summary
Since the advent of dental implants and their acceptance by many in the profession, some dentists are extracting restorable teeth and placing implants instead of building up the teeth and providing conventional dentistry. The various challenges of both building up teeth or placing and restoring implants are well known. However, the advantages of retaining broken-down teeth and restoring them are discussed in this article, along with example materials and techniques for building up natural teeth.
Editor's note: This article appeared in the April 2026 print edition of Dental Economics magazine. Dentists in North America are eligible for a complimentary print subscription. Sign up here.
References
- Száva DT, Száva A, Száva J, Gálfi B, Vlase S. Dental implant and natural tooth micro-movements during mastication–in vivo study with 3D VIC method. J Pers Med. 2022;12(10):1690. doi:10.3390/jpm12101690
- Christensen GJ. Clinicians Report. January 2016. https://www.cliniciansreport.org/products/product/improve-resin-curing-with-better-techniques-and-new-lights-surgical-implant-motors-are-becoming-a-necessity-what-is-the-pinhole-periodontal-surgery-technique-january-2016-volume-9-issue-1
About the Author

Gordon J. Christensen, DDS, PhD, MSD
Gordon J. Christensen, DDS, PhD, MSD, is founder and CEO of Practical Clinical Courses and cofounder of Clinicians Report. His wife, Rella Christensen, PhD, is the cofounder. PCC is an international dental continuing education organization founded in 1981. Dr. Christensen is a practicing prosthodontist in Provo, Utah.




