Advantages of polished zirconia dental crowns over surface-glazed crowns
What you'll learn in this article
-
Why polished zirconia crowns are biologically safer than surface-glazed crowns, causing significantly less wear to opposing enamel and reducing the risk of long-term damage to natural dentition
-
How glazed surfaces degrade over time, exposing rough zirconia and leading to esthetic compromise, enamel erosion, and increased caries risk—especially in patients with bruxism or clenching habits
-
How polished zirconia promotes superior tissue health and hygiene by resisting bacterial adhesion, minimizing plaque buildup, and outperforming glazed ceramics in soft tissue response
-
Why polished zirconia offers more durable, esthetic, and maintenance-free restorations, maintaining color stability and gloss over time without the need for brittle surface glazes
Abstract
Zirconia crowns have become a cornerstone in restorative dentistry due to their strength, biocompatibility, and esthetics. While surface glazing with feldspathic materials has long been used to enhance appearance, it introduces significant biological drawbacks—particularly wear on opposing enamel. This article examines the biological and health-related advantages of polished zirconia crowns over surface-glazed versions, focusing on enamel preservation, erosion risk, and long-term oral health benefits.
Zirconia crowns in restorative dentistry
Dental crowns restore function, structure, and esthetics to damaged teeth. Zirconia—specifically zirconium dioxide (ZrO2)—has emerged as a favored material thanks to its high strength, fracture resistance, and biocompatibility. Unlike traditional ceramics, modern zirconia formulations now offer improved translucency, making them suitable for both anterior and posterior restorations.
Historically, feldspathic surface glazing has been applied to enhance the visual appeal of zirconia crowns and seal in surface stains used to match tooth color. However, while esthetically effective, this glazing technique can negatively impact surrounding oral structures, especially opposing enamel.
Understanding surface glaze and its drawbacks
Feldspathic glazes create a glasslike coating over zirconia to simulate enamel translucency. However, this coating wears over time, exposing the underlying zirconia, which is often lighter in color than the original stained glaze—compromising esthetics. More importantly, the roughened surface left by worn glaze can become abrasive to opposing enamel.
Enamel wear and surface roughness
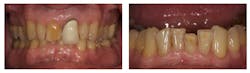
Surface-glazed crowns may initially feel smooth, but as the glaze deteriorates, the roughened interface can lead to accelerated wear on the opposing natural teeth. Jagger et al. found that surface-glazed zirconia causes more enamel wear than polished zirconia.1 Constant exposure to a roughened, glazed surface can degrade the natural enamel layer, exposing dentin and increasing the risk of discomfort, structural weakness, and irreversible damage. Over time, this enamel loss may result in heightened sensitivity, increased caries risk, and the need for additional dental treatments (figure 1).
Biological benefits of polished zirconia crowns
Modern advances allow zirconia crowns to be polished to a smoothness mimicking the gloss of natural enamel, without requiring an additional glaze. This intrinsic finish offers several clinical advantages, both biologically and functionally (figure 2).
Minimal opposing enamel wear
Polished zirconia exhibits significantly lower abrasiveness than surface-glazed versions. Kaizer et al. demonstrated that polished zirconia leads to minimal enamel wear, making it safer for natural dentition—especially in patients prone to bruxism or clenching.2 Earlier concerns that zirconia’s hardness might damage opposing teeth have been debunked. Its fracture resistance allows for conservative preparations with minimal thickness (as little as 0.6 mm), making it an efficient and durable option.
Enhanced biocompatibility and tissue health
Zirconia is highly biocompatible. It does not provoke allergic reactions, inflammation, or irritation in surrounding tissues. Polished zirconia crowns offer even greater compatibility due to their smooth finish, which resists bacterial adhesion. Research by Bittar et al. shows zirconia elicits better soft tissue responses than metal or glazed ceramic crowns.3
Notably, Linkevicius3 found that zirconia has the lowest surface-free energy among restorative materials, making it far less susceptible to plaque accumulation. Simply put, plaque won’t stick.
Superior esthetic and functional outcomes
Today’s zirconia materials often combine multiple layers and yttria content levels (3Y/5Y) to balance strength and translucency. Crowns with 3Y-TZP have higher strength but lower translucency, while 5Y-TZP increases translucency with slightly reduced strength—making zirconia adaptable for various restorative needs.4
Polished zirconia’s natural luster mimics enamel’s appearance—while capturing subtle anatomical details such as perikymata—without the artificial sheen of surface glaze (figure 3). Unlike feldspathic materials, polished zirconia maintains consistent coloration over time and resists discoloration and surface degradation. As Dr. Gordon Christensen states, “Characterizing techniques that require glaze to seal in colors will not be as durable as patients desire.”5
Coloring liquids are applied on presintered zirconia to enhance multichromatic details and characterizations. The bio-pigments, which contain metal oxides, are absorbed by the zirconia, and the coloring infuses into the surface during sintering. The result is more natural than applied surface staining (figure 4).
Unlike traditional surface staining, this polish method allows for adjustments to be made—interproximal and/or occlusal, as necessary—and the exterior is idealized without “removing” the intrinsic shading that is the desired final shade.
The procedure for polishing zirconia is simple. Use a green stone (or similar grit) on the surface(s) to be adjusted, followed by slight rubber wheeling (only enough to smooth and remove any lines and striations left by the stone). Overuse of the rubber wheel can result in the surface being too shiny (bowling ball effect). For the final steps, use a diamond-
impregnated porcelain polishing paste with a Robinson brush and felt wheel; again, a light touch and restraint from overpolishing is necessary to achieve the same sheen as a shade guide (figure 5).
Durability and long-term outcomes
Polished zirconia crowns outperform their glazed counterparts in longevity. The absence of a brittle glaze layer eliminates surface degradation and discoloration. These restorations require less maintenance and are less likely to need repair or replacement—providing a more durable and cost-effective long-term solution for patients.
Conclusion
Polished zirconia crowns offer substantial advantages over surface-glazed crowns—both in biological safety and functional performance. Their key benefits include:
- Reduced wear on opposing enamel
- Enhanced biocompatibility and soft tissue response
- Resistance to plaque and bacteria
- Stable, lifelike esthetics
- Superior strength and fracture resistance
In contrast, feldspathic-glazed crowns carry risks of enamel wear, erosion, discoloration, and decreased longevity. For patients and clinicians seeking a restorative solution that prioritizes oral health without compromising appearance, polished zirconia crowns represent the future standard of care for dental restorations.
Editor's note: This article appeared in the July/August 2025 print edition of Dental Economics magazine. Dentists in North America are eligible for a complimentary print subscription. Sign up here.
References
- Jagger D, Naylor W. Surface wear characteristics of dental materials. J Prosthet Dent. 2017;118(4):489-494.
- Kaizer MR, Moraes RR, Cava SS, Zhang Y. The progressive wear and abrasiveness of novel graded glass/zirconia materials relative to their dental ceramic counterparts. Dent Mater. 2019;35(5):763-771. doi:10.1016/j.dental.2019.02.022
- Linkevicius T. Zero Bone Loss Concepts. Quintessence Publishing; 2019.
- 3Y or 5Y? Tetragonal or cubic? Concise insights into the different types of zirconia. GC Europe A.G. 2025. https://www.gc.dental/europe/en/crownworkflow/types-of-zirconia
- Christensen G. Clinician’s Report. 2018;11(11).
About the Author
Keevin Shigenaka, CDT
Keevin Shigenaka, CDT, is founder and CEO of 38 Smiles Dental Laboratory in Fountain Valley, California. In his 50-plus-year career, he has worked in boutique labs as well as was general manager of all-ceramics at Glidewell Labs. He has participated in beta test development of materials (zirconia, lithium disilicate, and composite), intraoral and lab scanners, and digital software. He completed dual BS degree programs in business management and marketing and has training in LEAN, Six Sigma, and CQI manufacturing.





