How to increase predictability and durability of posterior composite restorations: A case study
In order to consistently and predictably create high-quality posterior composite restorations, it is critical to reconsider the cavity preparation and placement techniques that are ideal for amalgam but do not work harmoniously with composite. The most common modes of failure for posterior composite restorations are fracture or chipping, especially at the marginal ridges, and secondary caries.1 This article will address a different matrixing system and placement technique more ideally suited to work with composite resin properties.
Improved methods and products
Composite resin handles more like an injectable material that tends to incorporate porosities and defects with manipulation and layering. Such defects will leave the final composite restoration prone to chips and fractures. A variation of the snowplow technique—injection of flowable composite immediately followed by injection of regular composite—can create strong, monolithic restorations; better internal adaptation to cavity preparations; reduced void formation and microleakage; and resistance to fracture.
As the modern era of dentistry continues to evolve, product developments specifically geared to increase efficiencies and improve esthetics are coming to market in a steady stream. The first step for proper tooth separation and tight proximal contacts is pre-wedging. Pre-wedging offers many benefits including protection of hard and soft tissues from iatrogenic damage, tooth separation to accommodate matrix thickness, tighter contacts, and space for more conservative tooth preparation.
Two key components for tight contacts are wedges and separators; in the case of the Biofit Posterior Matrix System (Bioclear Matrix), the Diamond Wedge and the Twin Ring Separator are used. It is important to use a wedge with a low profile, which provides a gingival seal without distortion of the matrix. Additionally, the separator should be able to provide strong separation and help to seal the matrix along the gingival line angles.
The final piece of the puzzle is the composite materials. In this case, Filtek One Bulk Fill Restorative (3M) and Filtek Bulk Fill Flowable Restorative (3M) were used. Bulk filling is more time efficient, technically simpler, and creates a monolithic form. Manipulation of composites and layering is known for a higher incidence of voids and defects. This case demonstrates the method of injection molding, which has the ability to create strong, monolithic, void-free, ideally contoured, mirror-finish restorations. Significant time savings occurs with simpler finishing requirements. Excess composite at the mid buccal, lingual, and occlusal areas is quickly reshaped with a disc. The subgingival area is then finished with a finishing strip. Finally, it’s time to finish and polish using a diamond-impregnated rubber polisher.
Just as Tofflemire bands, wooden wedges, and amalgam were suited for one another, anatomic matrices, wedges, separators, and flowable and bulk fill composites work harmoniously to create ideal posterior composite restorations that are strong, monolithic, and anatomic.
Case study
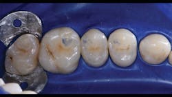
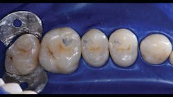
In the following case study (figures 1–11), the techniques and methods discussed will be demonstrated with the treatment of a quadrant of four posterior restorations. Four interproximal smooth-surface carious lesions are conservatively treated with two nonretentive saucer preparations and two marginal ridge-preserving opportunistic preparations.
Reference
- Alvanforoush N, Palamara J, Wong RH, Burrow MF. Comparison between published clinical success of direct resin composite restorations in vital posterior teeth in 1995–2005 and 2006–2016 periods. Aust Dent J. 2017;62(2):132-145. doi:10.1111/adj.12487
About the Author
Jihyon Kim, DDS
Jihyon Kim, DDS, is a graduate of the University of Washington School of Dentistry. With more than 20 years of experience, she practices with an emphasis on esthetic smile rejuvenation. Dr. Kim created the Smile Design Gauge, a multifunctional tool for predictable chairside smile design. She is director of the Institute of Injection Overmolding in Seattle, Washington. Contact her at drkim@jihyonkimdds.com or on Instagram @discingqueen.













