When everyone else zigs, you zag! ... It will make a difference
Fig. 1 Full-face preop
“Two roads diverged in a wood, andI took the one less traveled by, And that has made all the difference.”
~Robert Frost
One of my philosophies in life has always been, “When everyone else zigs, you zag.” Be different. Don’t follow the herd. (See my article, “Don’t be a sheep” in the Sept. 2010 issue.) You shouldn’t be afraid to try!
As dentists, we tend to be very predictable in our treatments. We become comfortable with our techniques, the materials we use, and the results we get. Sometimes it’s just easier to keep on doing things the way we have always done them, rather than attempt something different. Leave your comfort zone and expand your horizons! It will give you a different perspective and bring excitement into your practice.
Fig. 2 Buccal view of No. 9
Fig. 3 Pericapical X-ray No. 9
Let’s take a look at a case from my practice that could have been treated several different ways. As we explore this case, just think about WWID: What would I do?
When the patient first presented to the office, she showed normal periodontal measurements around all teeth with the exception of tooth No. 9. (Fig. 1) This tooth had an existing porcelain-to-metal crown that was in traumatic occlusion and with subgingival margins. (Fig. 2) The patient was scheduled to come in for treatment of No. 9; however, prior to that appointment she presented on an emergency basis due to a periodontal abscess associated with that same tooth. (Fig. 3). The tooth had 5 mm to 8 mm pocketing and mobility. Let’s consider the treatment options at this point:
- Extract the tooth and place a flipper.
- Extract the tooth and do a bridge.
- Extract the tooth and place an implant and crown.
- Restore periodontal health, save the tooth, and place a new crown.
We elected to cautiously attempt option 4. As we considered the options, this choice was definitely not the easiest or most predictable. We decided to zag!
Fig. 4 One week postop
We immediately took the crown out of occlusion in both centric and protrusive movements. Using the Biolase Waterlase laser with the radial fire perio tip, we completed gingival surgery, including mechanical debridement. This surgery was accomplished without a flap or sutures. The patient was also placed on antibiotics. One week later the patient returned with the area looking and feeling better. (Fig. 4)
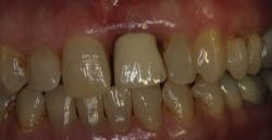
Fig. 5 Tooth No. 9 three months postop
Fig. 6
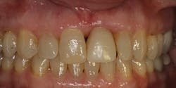
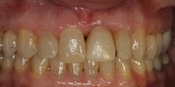
After following the case for 18 months, the periodontal condition appeared stable and the patient elected to replace the temporary crown on No. 9 and do some cosmetic work at the same time on teeth Nos. 6 through 11. (Figs. 7 &8) .
A case that could have resulted in tooth loss was salvaged thanks to my having a laser that offered a solution to a periodontal problem. I believe most general dentists would have elected one of the other treatment options, or at least referred out the case.
The next time you see a challenging case, consider all of the possible options and dare to be different.
Fig. 7 Crowns 6 through 11
Fig. 8 Full-face
Past DE Issues






