Evaluating edentulous patients for implant-supported prostheses: Options and considerations
Vincent Nalbandian
Implant-supported restorations are becoming more common in today’s dental practices. At Burbank Dental Lab, we see many of our dentist clients addressing single-tooth and quadrant needs with implant restorations in lieu of bridges. Many clients are also restoring full-arch needs with implant-supported restorations. Patients are partially responsible for this acceleration toward implant restorations, as many are becoming aware of the options available. In this article, we will address important preoperative considerations as you develop a treatment plan for the edentulous patient who is a candidate for implant-facilitated treatment.
Implant restoration digital preparation
There are many critical elements to evaluate when preparing to restore edentulous patients with implant-supported prostheses. It is important to collect the right data and evaluate it prior to considering treatment plan options. Three questions that must be answered are:
- What is the need to support facial esthetics and lip support?
- What is the available vertical clearance?
- Where is the smile line in relation to the display of natural tissue within the smile?
Let’s look at each of these questions individually.
What is the need to support facial esthetics and lip support? If patients have lost a significant amount of bone, restorations may require denture flanges to provide support for the lips and facial esthetics, thus eliminating a hybrid as a treatment option (figure 1).
Figure 1: Lack of lip support
What is the available vertical clearance? One of the most important evaluations to make is how much vertical clearance is available. This will affect surgical choices as well as restorative options, so it is essential to collect and analyze this information before working up a treatment plan.
We receive many cases that have a specific type of prosthetic restoration that has been treatment planned and accepted by the patient. Imagine having to communicate with a patient who expects a certain type of restoration that there is not sufficient vertical clearance to fabricate the prescribed prosthetic. Obviously, this is a situation you want to avoid.
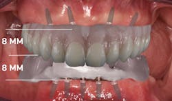
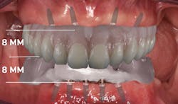
Figure 2: Bite block with anterior teeth
To do this, use a bite block to begin collecting measurements of what prosthetic thickness may be. Measure occlusal thickness and buccal and lingual width relative to proposed implant locations. You may also want to consider asking the lab to put two centrals on the wax-up so you can begin to establish the occlusal plane (figures 2 and 3).
Figure 3: Height and width
Where is the smile line in relation to the display of natural tissue within the smile? Evaluation of the smile line will determine if you need pink tissue built into the restoration or whether you will need to prescribe a bone reduction as part of the surgical procedure. Mark the lip line on the bite block to identify the tooth display in the smile (figure 4).
Figure 4: Mark the position of the upper lip line on the implant bite block when the patient is smiling.
Let’s look at how these considerations play into subsequent preparations.
The importance of the diagnostic work-up
Occasionally there are cases that start out with a specific, predefined prosthetic appliance. In other words, the appliance has been presented by the dentist and accepted by the patient before an impression is ever taken. This presents a challenge if the patient’s expectations are directed toward a result that is not realistically possible. It causes stress all the way around.
I once attended a program where Jimmy Eubanks, DDS, put forward the idea that it is better to “sell” the diagnostic package than to go right into the treatment plan presentation. If you promote a diagnostic package that is priced appropriately, patients will develop ownership of their conditions and be more dedicated to treatment. When properly used, diagnostics will show you in advance what your realistic options are for the final prosthesis.
It is so important to educate and involve your patients in the ownership of their conditions before working up treatments for those conditions. Many times, patients get in the driver’s seat of clinical decisions, demanding an All-on-4, “teeth in a day,” or a screw-retained prosthesis when what they need is a bar-supported removable denture. A diagnostic package that includes bite blocks, wax set-ups, a CT scan, and a photo series can assist you in directing your patients to what is going to deliver the best results for them as individuals and what is possible given the conditions in the mouth.
First, let’s discuss the importance of evaluating vertical and buccal-lingual requirements for each type of prosthetic appliance, as well as whether the intended dental restoration will be implant-supported and fixed or an implant-retained denture. It is critical to begin the evaluation process prior to the surgical appointment for the implants, as this will assist in the planning of the surgical goals.
Using a prototype to assist in measurements and evaluations
For the purposes of this article, we will discuss only the importance of bite blocks and wax setups. Of course, x-rays, CT scanning, and photos are also going to be important aspects of the pretreatment evaluation.
It is necessary to create a prototype of the final restoration to be used in the CBCT-scanning procedure. As you then create the prototype, it should be used to measure the vertical clearance, evaluate lip support, observe lip line, and determine tooth and subsequent implant positions (figure 5).
Figure 5: Scanning appliance
Bite blocks
Start with bite blocks, making sure that each arch bite block is the thickness required of the desired prosthesis plus 1.5 mm thickness per arch. If you are not planning on opening vertical, you can also use an existing denture or a duplicate of that denture, but always do a reline impression. You must be prepared to consider opening vertically, as it may be necessary for many prosthetics. Use Table 1 to identify bite blocks that are the approximate dimensions for the prosthetic goal. For example, if you are proposing a monolithic zirconia hybrid, the bite block needs to have an occlusal thickness of at least 8 mm, a buccal-lingual width of 10 mm, and a minimum wall thickness from the proposed screw hole of 3 mm buccal and lingual.
Table 1: Implant-supported prosthetics—dimensional requirements for wall thickness
Occlusal clearance: tissue to opposing | Buccal-lingual width | Buccal and lingual width from center screw hole | |
Porcelain-fused-to-metal hybrid | 7 mm | 8 mm | 2.5 mm |
Zirconia hybrids | 8 mm | 10 mm | 3 mm |
Smart composite hybrid | 10 mm | 9 mm | 3 mm |
Conventional hybrid | 11 mm | 9 mm | 3 mm |
Denture over Hader bar | 11 mm | 11 mm | 4 mm |
Denture over locator bar | 12 mm | 11 mm | 4 mm |
Denture with locators direct to implants | 10 mm | 10 mm | 3 mm |
Wax-up try-in with teeth
If you are considering that the final treatment may be a screw-retained hybrid restoration, then consider what effect the lack of a denture flange will have on the lips. Is the flange of the denture adding necessary lip support that would be lost if a screw-retained restoration was the restorative choice? You can test this by trying in the setup with a flange of normal thickness, taking photos, and measuring the thickness of the flange. Next, cut the facial part of the flange off and take another photo. This will show you if a flange is necessary for facial esthetics.
At this point, you should also evaluate where the tissue display is within the smile. If the transition from the restoration to natural tissue is within the smile line, then this would contraindicate a screw-retained hybrid. These simple criteria will tell you more or less if the best course of treatment will be screw-retained or a denture over a bar.
Measure the thickness of the wax setup
Take measurements of the wax setup from several perspectives. You will want to know the thickness in the approximate position of where you would like to place the implants. Measure the occlusal thickness from tissue to occlusion. Also, measure the thickness from the center of the ridge to the buccal and lingual surfaces of the wax setup. (This assumes that the implants will be placed in the center of the ridge.) Refer to Table 1, the implant prosthetic dimensional requirement chart, for appropriate measurements.
Summary
If you focus on these simple pretreatment diagnostic tools, you can increase the predictability and profitability of your implant-supported edentulous cases (figure 6). This will give you peace of mind as you build your implant-related practice.
Figure 6: Full-zirconia hybrid
It is important to keep the treatment options open and guide your patients’ decisions based on the measurable criteria as well as the logical choices that are supported by the data. It is understandable to consider patient desires, but allowing patients to drive treatment choices in these types of cases will oftentimes compromise the final result and can be a very costly misstep.
Author’s note: For more information on Burbank Dental Lab, visit burbankdental.com.








