Modern ceramic veneer alternatives
Michael DiTolla, DDS, FAGD
Porcelain veneers have become an accepted treatment modality for the modern dental practitioner to restore missing tooth structure and enhance aesthetics. While direct composite veneers remain a viable treatment option as well, most dentists routinely utilize ceramic veneers due to their increased strength, longevity, and also to allow the restorations to be built slowly by a ceramic artist, while the patient wears provisional restorations. The evolution of the preparation and bonding techniques that have occurred in the last 15 years has increased the success, predictability and demand for these services. Most recently, a network television show, "Extreme Makeover," has thrust aesthetic dentistry into the limelight as never before.
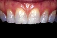
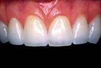
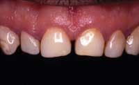
I was fortunate enough to be able to seat six veneers while I was in dental school at University of the Pacific back in 1987. It was the first set of veneers ever done at the dental school. The thing that's stood out the most about this case in retrospect was how it was decided that we would do this case. The patient said that she was a runway model, and that her tetracycline staining was keeping her from getting many jobs and was thus hampering her career. A friend of hers who lived on the East Coast had just had veneers done, and the patient begged me and the head of the fixed departmen—who claimed it was a non-teaching case—to do the veneers. She was on three-month recall (due to a single 4 mm pocket on the distal of #18) and every time she came in she would beg us to do the veneers.
Just over a year and a half later, the head of the fixed department finally gave in and gave me permission to do the case. It was the only time that someone begged for a procedure in my dental school career, and I learned early on the difference between "wants-based" dentistry and "needs-based" dentistry. This patient was not wealthy, but she would not take no for an answer when it came to aesthetic dentistry.
Like many of these early cases, there were no temporaries done in conjunction with a minimal reduction preparation. We prepped teeth Nos. 6 through 11, which I would never do today because of how it negatively affects the buccal corridor after the restorations are bonded, since the bicuspids tend to disappear due to the cuspid prominence.
These first ceramic veneers were fabricated from feldspathic porcelain, although with the launch of IPS Empress 15 years ago, pressed ceramics became the most popular technique for fabricating ve-neers. In our laboratory today, 86 percent of porcelain veneers is fabricated from pressed ceramic and 14 percent is fabricated from feldspathic. However, there are certainly times when feldspathic ceramic restorations can be preferable to pressed ceramic restorations. Let's examine the two techniques and discuss a rationale for choosing one.
Advantages of pressed ceramic:
• Wear compatibility
• Increased translucency
• Ability to wax-up final contours prior to pressing
• Stronger than feldspathic
• More consistent results for the average ceramist
Advantages of feldspathic ceramic:
• Ability to mask out darker preps
• Less tooth structure removal (.3-.5 mm vs .6-.8 mm)
• More 3D appearance in thinner areas
• Ability to use same ceramic as in adjacent PFMs
• Ability to place different opacity levels within the restoration
Recommendations for pressed ceramic selection:
• When significant malposition exists in arch
• When significant increase in tooth length is desired
• When strength is of utmost importance
Recommendations for feldspathic ceramic selection:
• When minimal preps are desired due to patient concerns or minimal changes in size, shape and shade
• Diastema closures when shade is not altered significantly
• Teeth with minimal malpositions within the arch
• When adjacent teeth will have PFM restorations placed
Conclusion:
While either fabrication technique can be a viable solution for most ceramic veneer cases, there are distinct advantages and disadvantages to both techniques. The key to aesthetic success remains largely in the artistic capabilities of the ceramist. Materials and techniques work differently in different hands, therefore it is imperative to build a relationship with a laboratory that suits your needs both functionally and aesthetically. Consult with your laboratory regarding the materials they prefer on certain cases to achieve the most natural-looking result. Sending pre-operative, prep and provisional photographs and study models to act as guideposts for your laboratory will give you the best chances of creating the smile both you and your patient envision.
Dr. Michael DiTolla is director of clinical research and education at Glidewell Labs in Newport Beach, Calif., where he also teaches over-the-shoulder courses on topics such as aesthetic restorative dentistry. Dr. DiTolla also teaches a two-day, live-patient, hands-on laser-training course that emphasizes diode and erbium lasers. In addition, he teaches a two-day, hands-on digital photography course emphasizing intraoral and portrait photography, and image manipulation. More information on these and other courses can be found at www.ditollaseminars.com or by calling (888) 535-1289.




