Tooth color modification: A discussion on the history, mechanism, and options for OFFICE vital tooth bleaching
by Dr. Jack Ringer, DDS
Introduction
In our health and beauty conscious society, men and women continually strive to recapture and maintain their youthful appearance. Having a youthful, bright smile is one of the most effective ways to accomplish this.
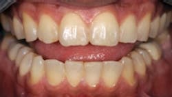
Before
Dental professionals and their teams need to understand the mechanism, indications, and limitations of tooth bleaching, as well as identify the origin of the tooth staining before prescribing bleaching as a treatment option for their patients. It is also important that dental professionals educate and communicate this information with their patients in order to ensure that realistic expectations are met.
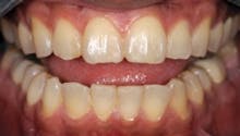
After
Staining of a tooth can be either surface, intrinsic, or both. Surface stain can be removed by using some form of abrasive technique such as a toothbrush and toothpaste at home, or by a dental professional using a dentifrice and rotary instrument. These methods do not “bleach” the teeth but “whiten” them as they only work on the surface. In most cases, teeth do appear brighter and lighter after removing any dark surface staining.
Intrinsic staining is a result of the stain elements being absorbed deep into the dental structure, since the enamel and dentin are porous. The source of these stains can come from persistent exposure to the teeth from products such as cigarettes, coffee, tea, and red wine. Eliminating these internal stains will in essence “bleach” or lighten the appearance of the teeth.
Mechanisms and methods
To remove intrinsic stains from teeth, the absorption of large amounts of oxygen into the teeth themselves will result in an oxidation process that breaks down the larger and highly pigmented molecules into smaller and less pigmented molecules; thus the tooth becomes lighter. Applying a hydrogen peroxide type solution, which releases oxygen, to tooth surfaces in a controlled environment under dentist supervision, i.e., office bleaching, constitutes the majority of office bleaching procedures today.
Early office bleaching methods used products such as 30% superoxyl or 35% hydrogen peroxide, along with a heat source to accelerate the uptake of oxygen into the teeth. Later, adding a silica gel to the hydrogen peroxide resulted in a viscous bleaching compound (35% carbamide peroxide) that remained in place when applied to the tooth surface. This technique is done without heat, thus reducing the amount of postoperative sensitivity dramatically; however, soft tissue isolation is still imperative.
In 2001 a UV light source was introduced, but studies have shown that heat from the light source, which comes from a halogen bulb or LED source, does not improve the bleaching result, but does expedite the time to bleach in the office. It has been shown that applying sodium fluoride right after treatment helps reduce any tooth sensitivity that may arise. In 2001 the use of 35% carbamide peroxide along with a UV light (Philips Zoom) source was introduced and gained tremendous public and professional acceptance, as this process was demonstrated on a national TV show.
The upside to office bleaching:
- Reduced chair time, which is advantageous to both the patient and office.
- Positive marketing potential when futuristic light sources are employed.
The downside to office bleaching:
- It can be very expensive ($1,000 to $3,000+) as repeated office visits are required.
- Due to the high concentration of hydrogen peroxide being released (10%), the procedure must be done in the dental office.
- As all the therapy is done in the office, there is no way to do any home maintenance when relapse eventually occurs.
Dr. Jack Ringer, DDS, practices in Anaheim Hills, Calif. He is an accredited member of the American Academy of Cosmetic Dentistry, a board member of the American Board of Cosmetic Dentistry of the AACD, and a faculty mentor at the Spear Institute. You may reach him at [email protected].
Past DE Issues


