Case selection for anterior cosmetic services
Stephen D. Poss, DDS
The constant influx of new products and technology makes it nearly impossible for the dentists to keep up. A new adhesive or composite seems to hit the market each month. That's not to mention all the other restorative materials and even the advancing computer technology that the clinician is faced with daily.
It is hard not to notice that nearly every dental journal is filled with information about a variety of cosmetic procedures. As a result, many clinicians might wonder if there are any limitations to what we can do with these new materials. This author would be willing to bet that, in every Yellow Pages section of every phone book in America, well over 50 percent of the dentists advertise cosmetic procedures like porcelain laminate veneers.
The public is becoming more educated about the cosmetic services we can provide. The dental insurance companies are squeezing the profit out from our "bread and butter" services, creating a situation in which even more dentists are looking for alternatives to boost their revenue.
This is where the danger of knowledge - or the lack of it - can trip up many dentists who are offering these services today. Even though cosmetic procedures can provide a golden opportunity for dentists to expand their services and increase their bottom line, they also can open a Pandora's box of potential problems.
Dentists should not be too quick to assume that everyone who walks through their door is an ideal candidate for porcelain laminate veneers. Case selection is critical to achieving successful results and having a happy patient. Case selection also can be the clinician's worst nightmare.
A complete understanding of when and where various materials can be used and their limitations are crucial to a successful outcome. All cosmetic cases should be evaluated to see if the clinician could meet or possibly exceed the patient's expectations. If there is any doubt about achieving a patient's expectations, the clinician should either refer the patient to another dentist or proceed only after the patient understands your limitations in delivering an ideal aesthetic case.
Case 1
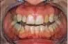
Some patients will inquire about their chipped and broken front teeth. Before you decide to jump in and agree to do eight to 10 veneers, you should investigate why the teeth are chipped in the first place. If this advice is ignored, you could be replacing a lot of broken veneers. If the dentition is worn due to bruxism or other parafunctional habits, this patient usually requires a full- mouth reconstruction to restore neuromuscular comfort, as well as proper cuspid guidance to protect the esthetic result (see photo 1).
In this case, the patient has worn all of his teeth severely; it would not be wise to just restore the upper anterior teeth. This also can be a problem with patients with a deep overbite who want to add length to their anterior teeth. If the anterior teeth already are touching the lower lip, it is unlikely the patient will be able to tolerate more length. The only way to add length in cases like this is to increase the vertical dimension of the teeth. This type of case also would require a full-mouth reconstruction. (See photo 2)
More common mistakes can be overcome with proper planning. A great majority of patients may have a Class I occlusion and no parafunctional habits. However, these patients may have an opposing tooth that might interfere with the ideal esthetic result.
This is where diagnostic study models are critical. An ideal wax-up can be done to determine what if anything needs to be adjusted on the opposing teeth before the case is started. If there are some opposing interferences, they should be discussed with the patient before treatment begins. By handling it this way, both the patient and the dentist can be prepared. (See photo 3.)
a long-range plan for keeping up with the latest cosmetic techniques and high-tech equipment? Are you communicating this effort to your patients in your newsletter, lay advisory board, office brochure, and in the office using DVD, intraoral cameras, and wall portraits of your beautiful smile results? The answers will influence how you are communicating to yourself and, ultimately, how you feel about dentistry.
Happy thoughts create inner joy. That radiates in your attitude! Think about this when you awaken in the morning. How happy are you to get to your office? If you lack the enthusiasm, passion, or "fire in your belly" to get to work, then maybe it's time to reflect on how you are communicating with yourself. Listen carefully to that little voice within you. It may be saying it is time to change. Wayne Dyer says, "There is no way to happiness; happiness is the way."
Whether it is happiness or success with your staff, patients, technicians, specialists, or yourself, begin now to plant the seeds that will make the changes to allow you to enjoy dentistry. Unlock the shackles that bind you. Remember that you are always communicating, and communication is the key!
Case 2
This patient wanted 10 upper veneers. She had a lower cuspid that was protruding facially (tooth no. 27). She agreed to have the lower cuspid contoured. However, after doing this, it still was necessary to leave a large embrasure between teeth six and seven to accommodate tooth 27. This problem was first pointed out to the patient on a study model before the teeth were prepared. This was acceptable to the patient. (See photos 4 and 5)
One of the most commonly overlooked problems in case selection and success is postoperatively checking the anterior working movements. The final details are done when the patient is not numb. The most common veneers to break or come off are the lateral incisors. This usually happens when the lower cuspid catches the distal edge of the upper lateral. The laboratory needs to build in cuspid rise to protect both anterior and posterior teeth. (Photos 6, 7, and 8)
Case 3
The architecture of the soft and hard tissue also should be considered. If a patient has a "gummy" smile and expects it to disappear with a set of veneers, he or she could be in for a great deal of disappointment. Gingival contouring can help, but it doesn't always eliminate the problem. The clinician has to stay at least 2.5 mm above the septal bone. This needs to be thoroughly discussed with the patient, because osseous surgery may be the only option to get the ideal result.
The patient in photos 9 and 10 wanted brighter teeth and less gingival tissue showing.It was explained to the patient that there still would be some gingival tissue showing after contouring, and that it would take osseous surgery to completely eliminate the "gummy" smile. Once a patient understands the limitations in a particular situation, the more likely the clinician will be able to meet the patient's expectation.
An enormous opportunity exists for dentists who are willing to take the time and effort to learn about a variety of cosmetic procedures, along with their limitations. Hands-on-training is one of the fastest ways to get ahead in this competitive market. Programs like those offered at the Las Vegas Institute for Advanced Dental Studies can catapult the dentist forward quickly. In this type of training program, up to 300 veneers may be prepared in one weekend. This gives clinicians a chance to not only prepare a set of veneers, but also to observe other cases that are being prepared.
The number of anterior and posterior cosmetic procedures being performed is growing dramatically. Cosmetic services can be an integral part of every dental office if the clinician is willing to learn and grow. Proper case selection and beautiful results can be very rewarding. Why not get started now?
1
Worn dentition needs full-mouth reconstruction to add length to the teeth.
2
Deep vertical bite needs full-mouth reconstruction to protect the anterior teeth.
3
Stone model showing adjustments to opposing tooth before treatment began.
4
Preoperative photo showing how tooth No. 27 protrudes facially.
5
Veneers placed - No. 27 is adjusted as much as possible.
6
Shows tooth No. 7 broken off due to an interference from tooth No. 27.
7
Shows there is not adequate cuspid rise to prevent interference with the upper lateral incisor.
8
Shows mandibular contouring to prevent interferences with tooth No. 7.
9
Preoperative treatment of patient who wanted whiter teeth and less gingival appearance.
10
Veneer seated with gingival contouring only. To heighten the teeth would require osseous surgery.










