Smile design to development: A predictable way to create anterior esthetics
Improving esthetics is no longer a by-product of the treatment plan—patients often focus on it more than anything else. In this article, Dr. Mistry discusses seven steps of esthetic treatment planning that ensure good biologic, functional, and esthetic outcomes.
Esthetic treatment planning, or "smile designing," has become an integral part of today’s dental treatments. Improving the smile is no longer a by-product of a treatment plan, but is actually the goal of modern dental therapy.
The biggest challenges for the dental practitioner come in creating esthetic outcomes for complex cases that involve various disciplines of dentistry. A systematic approach to planning and sequencing treatment can eliminate guesswork from the equation, and empower a practitioner in creating predictable results.
A comprehensive esthetic treatment plan enables you to visualize the final outcome from biologic, functional, and esthetic perspectives. The following steps are used as a blueprint and aid in identifying the various treatment modalities required for executing the treatment and sequencing them correctly for achieving the final outcome.
Step 1: Facially-generated esthetic treatment plan
The first step involves the esthetic analysis of the case. For the restorative dentistry to be esthetically successful, it must enhance the face and create balance and harmony with all its features.1 The smile must complement the facial features, both vertical and horizontal. Vertical symmetry is achieved by relating the dental midline with the facial midline, and horizontal balance and harmony by aligning the incisal edge positions with the interpupillary line and lower lip (figures 1a and 1b). This aids in developing tooth positions, which are aligned with parameters specific to that particular face and thus complement the full facial esthetics.
The gingival positions are based on the lip line; the gingival architecture should be planned so as to provide a pleasing framework to the teeth. An ideal gingival display would involve about 1 mm to 3 mm in a wide smile. The tooth proportions are selected so that the final form of the teeth fits into the framework created by the incisal edges, and the gingiva and the teeth are arranged for the ideal amount of display and inclination to complement the face. Along with the esthetic analysis, a functional evaluation is performed to ensure that the phonetics and occlusion are in synergy with the esthetics.
Steps for success
- Facially-generated esthetic treatment plan
- Diagnostic wax-up, mock-up, or trial smile (3-D visualization of the plan)
- Interdisciplinary procedures
- Orthodontic tooth movement
- Periodontal crown lengthening
- Site development and implant placement
- Controlled and conservative tooth reduction using preparation guides (APT concept), keeping the final outcome in mind
- Creation of lifelike temporaries that provide functional and esthetic data
- Use of the matrix and stents during fabrication of the restorations
- Cementation of the restorations - realizing the smile design
Step 2: Development of the diagnostic wax-up, mock-up, or trial smile
Based on the esthetic analysis, a 3-D review of the plan is designed to evaluate esthetic and functional feasibility. This is usually done with a wax-up on study casts, and provides a spatial evaluation of the final tooth positions and form (figures 2a and 2b). Precise information regarding tooth positions and angulations, gingival architecture, and occlusal relationships can all be evaluated using this wax-up.
Visualizing the final tooth form and positions enables us to determine the type of treatment modalities required to achieve the planned result. Interdisciplinary procedures such as surgical enhancements, occlusal reorganization, and tooth movement or tooth replacements can be planned accordingly.
The treatment plan is then tried in the patient’s mouth as a test run or “trial smile” (figure 2c).3 A silicon putty stent made from the diagnostic wax-up is filled with a bis-acryl material and positioned in the patient’s mouth. When the material sets, it leaves a reproduction of the designed wax-up in the mouth. This intraoral mock-up permits us to evaluate the new tooth forms and position and relate them to the facial esthetics of the patient. We can thus get a preview of the smile design’s esthetics and function, both phonetic and occlusal. It also gives the patient an opportunity to review the proposed changes before any irreversible treatment is carried out.
Step 3: Interdisciplinary procedures
In order to ensure predictive restorative work, creating favorable tooth sizes and positions is the first step in the treatment. Adjunctive treatments involving interdisciplinary modalities such as orthodontic tooth movements, gingival recontouring and crown lengthening surgeries, and site development and implant placements, help develop the ideal framework for the restorative dentist.
Silicon indices made from the diagnostic wax-up act as a communication tool for performing the various treatments with a very specific endpoint - the smile design. This ensures that there is no disconnect between the various specialists involved in the treatment of the case (figure 3).
Step 4: Use of the preparation guides (APT concept) for controlling tooth reduction
The focus of all esthetic restorative treatments is to minimize tooth reduction and create very conservative tooth preparations. To ensure this, the final form of the teeth, as designed by the treatment plan and diagnostic wax-up, is used as a guide for planning the tooth reduction. A trial smile or intraoral mock-up is utilized to minimize tooth reduction. As a result, tooth preparation is done only where and as much as required (figures 4a-4e). The preservation of tooth structure ensures longevity for the restoration.4,5,6
Step 5: Creation of lifelike temporaries with functional and esthetic data
At this point, creating provisional restorations in continuity with the treatment plan further aids in more precise results (figures 5a and 5b). These provisionals act as an indicator for the esthetic and functional goals that the restorations are meant to serve.
Step 6: Use of the matrix and stents during fabrication of the restorations
The approved designs are then copied in the laboratory (figures 6a and 6b). Once again, communication is objective since the diagnostic wax-up is used as a template for the fabrication of the definitive restorations. The incisal edge position and the shape, size, alignment, and angulation of the teeth were all tried and tested with the trial smile and the provisionals. Now the same blueprint is used for constructing the definitive restorations. This ensures that the final restorations will fulfil the promise of the smile design with predictability and confidence.
Step 7: Cementation of the restorations - realizing the smile design
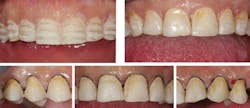
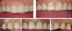
If the continuity of the case is preserved, the definitive restorations are predictable in terms of form and position. The intermediate steps of the trial smile and the temporization ensure that they are also functionally sound. Thus, this step of cementation is a final realization of the treatment plan (figures 7a and 7b).
Conclusion
Once the smile design has been developed, it is imperative to carry it forward so that the final smile is actually a replica and visualization of the treatment plan. Complete control over the esthetic blueprint will enable you to get predictable results no matter the case complexity. This ensures creation of esthetics with a facial and global perspective, respecting the biology of the tissues and ensuring functional stability.
Editor’s note: The references for this article will appear online. Visit dentaleconomics.com and search “Mistry.”
Saiesha Mistry, BDS, MSc, is a leading esthetic and restorative dentist from Mumbai, India. She currently maintains a private practice limited to esthetic and restorative dentistry with special emphasis on smile makeover and oral reconstructions. She is an accredited member of the Indian Academy of Cosmetic Dentistry, an active member of the American Academy of Cosmetic Dentistry, and an affiliate associate of the American Association of Implant Dentistry.







