Case study: Full-face digital smile rehabilitation
Key Highlights
- Comprehensive diagnostics—including 3D facial scans, occlusal analysis, and digital smile design—revealed significant wear, asymmetry, and reduced vertical dimension of occlusion driven by chronic bruxism and occlusal disharmony.
- A fully digital, minimally invasive rehabilitation plan increased VDO, corrected functional and esthetic imbalances, and utilized advanced tools (Exocad, NIRI, occlusogram) for precise planning and patient engagement.
- Guided preparations, provisionalization, and iterative adjustments enabled predictable TMJ adaptation, culminating in final restorations that restored function, stability, and a youthful, harmonious smile.
At the initial consultation (figure 1), a 57-year-old female patient expressed a chief concern of improving her smile to achieve a more youthful, harmonious, and uniform appearance. Comprehensive diagnostic records were obtained, including extraoral and intraoral photographs, digital intraoral scans, 3D facial scans, videos showing lip movement patterns, and a complete series of radiographs.
During the patient interview, she reported that previous providers had recommended treatments such as isolated osseous crown lengthening in the posterior region (where she presented with a provisional three-unit bridge spanning nos. 29 through 31) as a reactive, tooth-specific solution. However, this approach did not align with her broader esthetic, functional, and restorative goals, so the patient sought out a second opinion.
Additional reading: Utilizing a digital workflow for cosmetic crown lengthening, an economical and efficient must-have tool
The patient disclosed a long history of parafunctional bruxism, which she associated with chronic life stressors, and recognized that her malocclusion and occlusal disharmony likely extended beyond just fixing the single tooth as she was previously recommended. She therefore sought a more comprehensive, full-face rehabilitative protocol aimed at addressing both functional occlusal stability and esthetic enhancement of her dentition.
The patient presented with a history of chronic bruxism (figure 2), characterized by parafunctional clenching and grinding that wore through the enamel layer over time. Such effect stems from an increased mechanical loading on both the dentition and the temporomandibular joints, often resulting in occlusal wear, altered vertical dimension, and adaptive osseous remodeling.
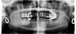
A panoramic radiograph (figure 3) demonstrates evidence of a decreased posterior condylar slope, consistent with the long-term reported habit. This remodeling had altered the condylar trajectory, contributing to a collapse of the patient’s occlusal vertical dimension relative to that expected in the presence of healthy hard and soft tissues.
Intraoral digital scans (figure 4) were obtained for comprehensive evaluation of interocclusal relationships. In the sagittal view, the patient exhibits a class I molar relationship on the left and a class II relationship on the right. This asymmetry is clinically significant, as the posteriorly positioned right mandible (class II side) has the potential to negatively influence facial symmetry and esthetics if not addressed in the treatment planning phase. Proper recognition of this discrepancy was essential in guiding the development of a full-face rehabilitative protocol and ensuring both functional stability and esthetic balance in the final smile design.
Transverse evaluation revealed significant occlusal and lingual wear patterns, with malposition of teeth relative to the ideal ovoid arch form. Notably, tooth no. 7 was rotated facially, compromising arch symmetry. The patient was also missing teeth nos. 18 and 28. The absence of no. 18 resulted in hypereruption of no. 15 into an open interocclusal space, while the loss of no. 28 contributed to the upper and lower midlines being noncongruent.
From the anterior perspective, the patient presented with a deep overbite, covering approximately 75% of the mandibular anterior dentition, coupled with insufficient overjet. This functional imbalance exacerbated the patient’s parafunctional bruxism and contributed to generalized incisal and occlusal wear. The maxillary midline was also deviated, failing to harmonize with the patient’s facial esthetics.
Occlusal analysis via occlusogram (figures 5 and 6) demonstrated broad, heavy contacts on the right posterior dentition, particularly between nos. 2 and 31, without corresponding support on the contralateral side. Excessive attrition was present across anterior incisal edges and posterior cusps, leading to loss of anterior guidance, compromised function, and diminished esthetics. These findings raised the critical question: if left untreated, what would this occlusion look like in five years, and how can proactive intervention restore stability and function?
Near-infrared imaging (NIRI) was employed to identify and treatment plan hard tissue concerns, including incipient interproximal lesions, microfractures, craze lines, and fluorosis. Soft tissue assessment revealed localized gingival recession, consistent with disproportionate occlusal loading and traumatic occlusal forces. These imbalances created undue tension on periodontal support structures, increasing the risk of hypersensitivity, root caries, mobility, and eventual tooth loss.
Advanced diagnostic tools—including the Outcome Simulator Pro, Smile Architect, and Exocad (with multiple treatment plan simulations) and occlusogram comparison—proved invaluable for both clinical planning and patient education (figure 7), clearly illustrating existing pathology, possible progression, and the benefits of comprehensive rehabilitation. Additionally, video simulation was utilized for case acceptance, which allowed the patient to visualize how the new smile would appear from all dimensions.
Smile design planning with the use of Exocad (figures 8 and 9) revealed a reduced vertical dimension of occlusion (VDO) secondary to posterior tooth loss, attrition, and condylar remodeling from chronic bruxism. To address this, the patient’s VDO was incrementally increased by 3.5 mm, restoring esthetic relationships and lip support. This approach minimized the need for crown lengthening or endodontic intervention and allowed conservation of natural tooth structure.
A digitally printed wax-up and tooth reduction guides facilitated minimally invasive preparations while ensuring restorative thickness. Gingival architecture was refined using a diode laser for optimal contour, hemostasis, and patient comfort. The iTero Lumina single-scan protocol streamlined data acquisition, enhancing precision for both provisional and definitive restorations.
Temporary restorations were fabricated using iTero scanning protocols and Exocad 3D smile design (figure 10), initially increasing VDO by 3.5 mm. These provisionals (figures 11 and 12) were worn for one month with weekly evaluations, allowing adjustments in occlusion and esthetics based on both functional feedback and patient preference. Ultimately, the VDO was increased an additional 1 mm to 4.5 mm, permitting gradual TMJ adaptation and stabilization while achieving the desired full-face rejuvenation.
At the seating appointment (figures 13 and 14), esthetics, phonetics, and function had been meticulously verified for a smooth and successful delivery of accurate, functional, and esthetically pleasing restorations to the patient. The digital workflow allowed for a highly efficient delivery with minimal adjustments. The final restorations successfully restored functional occlusion, reestablished anterior guidance, and achieved a youthful, harmonious smile that exceeded the patient’s expectations.
Editor's note: The article appeared in the January 2026 print edition of Dental Economics magazine. Dentists in North America are eligible for a complimentary print subscription. Sign up here.
About the Author

Steven Glassman, DDS
A pioneer in digital scanning and member of the Align faculty since 2004, Steven Glassman, DDS, was one of the first users of the iTero digital scanner in the world, and he continues to publish and lecture on comprehensive digital workflow. Dr. Glassman practices in New York City and focuses on cosmetic, implant, and aligner therapy.

Ryan Wagner, DDS
Ryan Wagner, DDS, is a highly esteemed general dentist practicing in Fairfield County, Connecticut. Among his patients and clinical specialists whom he collaborates frequently with, Dr. Wagner has earned a reputation for his precision, dedication, and excellence in comprehensive and esthetic dentistry. Beyond the operatory, Dr. Wagner regularly pursues continuing education programs to refine and elevate his skills as a practitioner.














