Oral manifestations of sickle cell disease: Implications for restorative, cosmetic, and prosthetic dental management
Key Highlights
-
Oral health impact: Sickle cell disease causes distinct oral manifestations—including delayed eruption, enamel hypoplasia, and increased infection risk—that complicate restorative and prosthetic care.
-
Clinical management: Successful treatment requires careful coordination with physicians, stress reduction, infection control, and the use of minimally invasive, oxygen-conscious protocols.
-
Material selection: Biocompatible restorative materials, such as Voco’s bonding and composite systems, enhance durability, esthetics, and patient safety in complex sickle cell cases.
Sickle cell disease (SCD), a hereditary hemoglobinopathy, results in chronic anemia, vaso-occlusion, and multiorgan dysfunction. The oral cavity is significantly affected by this condition, often leading to complications that impact function, esthetics, and quality of life. This article reviews the clinical oral manifestations of SCD and presents an integrated approach to restorative, cosmetic, and prosthetic dental management. Emphasis is placed on pretreatment precautions, clinical strategies, and the use of biocompatible dental materials, such as those offered by Voco.
Introduction
SCD is caused by a mutation in the beta-globin gene, leading to the production of hemoglobin S. Under stress, dehydration, or hypoxia, red blood cells become sickle-shaped, causing vascular occlusion and systemic complications. While the hematologic and systemic effects are well documented, oral health implications are often overlooked.
Dental professionals are increasingly encountering SCD patients who require comprehensive oral care. Managing their dental needs goes beyond function—it supports dignity, confidence, and systemic health.
Pathophysiology of sickle cell disease
In SCD, deoxygenated hemoglobin S polymerizes, deforming red blood cells into rigid, sickle shapes. These cells obstruct capillaries, reduce tissue perfusion, and trigger pain, ischemia, and chronic inflammation. The most severe form, HbSS (sickle cell anemia), involves inheritance of two defective genes. Other forms, such as HbSC and HbSβ-thalassemia, show variable severity.
Oral manifestations of SCD
Osseous changes
- Stepladder or hair-on-end appearance: Radiographic signs due to bone marrow hyperplasia
- Increased osteomyelitis risk: Poor perfusion increases vulnerability to bone infections.
- Delayed tooth eruption: Possibly linked to systemic growth delays
Soft tissue alterations
- Pallor and jaundice: Related to anemia and hemolysis
- Infections: Elevated susceptibility to candidiasis, herpetic lesions, and gingival inflammation
- Lingual papillary atrophy: Smooth, atrophic tongue in some cases
Dental and periodontal concerns
- Caries and enamel hypoplasia: Possibly due to salivary changes or developmental disturbances
- Periodontal disease: Increased gingival inflammation, bone loss, and impaired healing
- Pulpal necrosis: Even in noncarious teeth, due to microvascular infarctions
Orofacial pain and TMJ disorders
- Pain crises: Can mimic odontogenic pain, complicating diagnosis
- TMJ involvement: Secondary to chronic facial pain and muscle strain
Systemic considerations for dental treatment
- Medical clearance: This is essential before invasive procedures.
- Stress and hypoxia control: Use short, stress-free appointments; monitor oxygenation.
- Anesthesia: Local anesthetics without vasoconstrictors preferred.
- Infection control: Antibiotic prophylaxis may be necessary for surgeries.
- Pain management: Use NSAIDs judiciously; coordinate opioid prescriptions with physicians.
- Hydration and oxygenation: Critical during long procedures to prevent sickling episodes
Restorative and cosmetic treatment planning
Pretreatment strategies
- Obtain a detailed medical history and hematologist input.
- Schedule elective procedures during stable periods.
- Minimize appointment length and use sedation if appropriate.
- Use rigorous infection control and consider antibiotics for surgical procedures.
- Monitor anesthesia carefully; avoid excessive vasoconstriction.
Restorative care
- Periodontal therapy: Therapy includes scaling, root planing, and antimicrobial use.
- Caries management: Emphasize prevention through hygiene instruction, fluoride, and dietary guidance.
- Pulp therapy: Early intervention for deep caries is vital due to pulpal vulnerability.
- Pain management: Distinguish dental pain from vaso--occlusive episodes.
Case report: Full-mouth rehabilitation
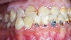
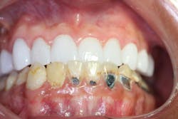
Patient: 24-year-old male with HbSS SCD, renal insufficiency, and frequent vaso-occlusive crises (figure 1)
Chief complaint: Pain, sensitivity, and desire for improved esthetics
Findings
- Rampant caries, pulpal involvement, enamel hypoplasia
- Gingival pallor and mild inflammation
- Facial esthetic concerns and malocclusion
Treatment phases
No. 1: Initial phase
- Periodontal therapy with scaling and chlorhexidine rinse
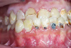
No. 2. Maxillary arch
- Extraction of nonrestorable tooth no. 3
- Endodontics, post, and core buildup with Rebilda DC (Voco)
- Selective etching, bonding with Futurabond DC, restoration with GrandioSO
- Provisional crowns fabricated using Structure 2 (Voco; figure 2)
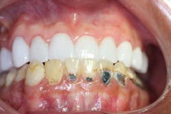
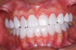
No. 3: Mandibular arch
- Followed same protocol
- Final lithium disilicate restorations (IPS e.max; figure 3)
No. 4: Maintenance plan
- Fabrication of night guard to prevent attrition and protect restorations
- Recalls every three months for hygiene, fluoride varnish, and prosthetic evaluation
- Patient educated on hydration, nutrition, and oral pain monitoring
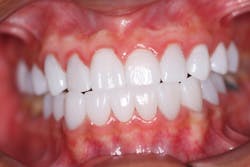
No. 5: Outcome
- Functional and esthetic success
- No complications; improved self-image and quality of life
Discussion
Restorative and prosthetic rehabilitation in SCD patients must integrate medical management with patient-centered care. Attention to systemic vulnerabilities such as ischemia, infection risk, and stress triggers is crucial. Voco materials used in this case demonstrated excellent adaptability and biocompatibility, contributing to durable outcomes.
The psychosocial benefits of esthetic improvement—particularly in young adults—are considerable. Cosmetic dentistry plays a therapeutic role, improving not only function but also patient confidence and social interaction.
Conclusion
SCD presents a unique intersection of medical and dental challenges. Oral manifestations—from bone abnormalities to soft tissue infections—necessitate tailored restorative and prosthetic interventions. With proper precautions and interprofessional collaboration, dental practitioners can significantly enhance the quality of life for patients.
High-quality, biocompatible materials (such as those by Voco) can support successful outcomes in medically complex patients. Dentists have the power to restore smiles and empower patients who often endure a lifetime of systemic disease.
Editor's note: The article appeared in the October 2025 print edition of Dental Economics magazine. Dentists in North America are eligible for a complimentary print subscription. Sign up here.
About the Author

Jean Morency, DMD, MS
Jean Morency, DMD, MS, began his medical education at Roosevelt University in Chicago, graduating with high honors and receiving degrees in biology and chemistry. He then went on to earn his DMD at the Harvard University School of Dental Medicine. He continued his postgraduate education by completing a prosthetic dentistry program and earning a Master of Science, as well as a teaching fellowship. He has enjoyed educating and training future dentists for the past 30 years.

Linda Chandler-Jacobs, RDH
Linda Chandler-Jacobs, RDH, is a graduate of the University of Texas Dental School, Houston, hygiene class of 1977. Her expertise about sickle cell disease and the sickle cell trait developed from years of study and interaction with dental patients affected by this disease. Linda is the founder of the nonprofit organization, The Potters Smile Inc., the only known 5013C in the US that addresses the dental needs of those affected by sickle cell disease.



