Q:
Over many years, I have placed ceramic and resin veneers with success, but I'm still often unsure about whether to place veneers or crowns for specific patients. The question is even more confounded now that lithium disilicate and zirconia materials have become so popular. When are veneers indicated, which type of veneering material is best, and when are crowns better?
A:
Veneers, both resin and ceramic, have been used as popular intermediate to long-term restorations respectively for several decades. Your question has many and varied implications that I will discuss for you. I will emphasize ceramic veneers since they're becoming popular again and they're the longest lasting.
Foremost indications for veneers
The best candidates for veneers are relatively sound teeth that are mildly discolored, slightly malpositioned, spaced, mottled, show obvious stained enamel cracks, have mild-to-moderate caries on the facial and/or proximal surfaces, are short in length, or are in other ways unsightly.
Selecting crowns or veneers for treatment
Some important clinical characteristics relative to this decision include:
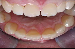
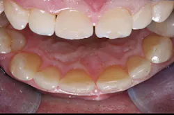
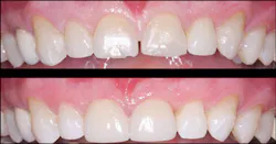
Intact lingual surfaces-If the lingual surfaces are worn through to dentin or carious, veneers are not indicated, and crowns should be placed. Lingual surfaces should be intact for veneers (figures 1, 2).
Figure 1: Two central incisors to be restored show deep facial restorations extending onto the lingual surfaces with a diastema present. These teeth would probably be better treated with crowns.
Occlusion-Bruxers, either grinders or clenchers, are not good indications for veneers. Properly placed crowns are a better choice (figure 3).
Figure 2: The two central incisors were treated with crowns, offering optimum strength and ability to contour the teeth equally.
Figure 3: A grinding bruxer with little enamel remaining was best treated with six anterior crowns.
High caries activity-Presence of significant and obviously active caries usually indicates crowns over veneers. The margins of crowns placed slightly subgingival provide more caries resistance than supragingival margins in high caries-activity patients. Veneers are best when dental caries activity is not severe (figure 4).
Necessity to significantly modify occlusion-If you plan to increase the vertical dimension of occlusion, or if any other significant occlusal change is indicated, crowns usually provide more adequate treatment than veneers. Occlusion should be relatively stable for optimum veneer service.
Lack of enamel on facial surface of teeth-Properly etched enamel provides the most adequate retention of veneers. Occasionally, teeth have either very thin enamel developmentally, or the enamel has eroded or worn off (figure 3). When the facial surface is more than 50% dentin, crowns are a better treatment choice. Mandibular anterior teeth often have minimal enamel, making long-term attachment of veneers questionable. Veneers require enamel for optimum retention.
Teeth significantly malpositioned-Rotated teeth usually have lingual surfaces in abnormal occlusal relationships. Occlusal contact and stability can be better accomplished with crowns. Placement of veneers should be done when major tooth repositioning does not need to be accomplished.
Figure 4: Significant caries and tooth breakdown indicated that the best decision for these six maxillary anterior teeth was lithium disilicate crowns.
Need for orthodontic treatment-The overall need for orthodontic treatment should be carefully analyzed. If orthodontic treatment is a viable alternative to correct any of the described clinical situations, that treatment should be accomplished instead of veneers. Patients should have in-depth informed consent about the various methods to correct their functional and esthetic needs before choosing veneers.
Matching the color of veneers and crowns-This task should be strongly considered during treatment planning. If several adjacent teeth in a treatment plan require crowns and some adjacent teeth could have veneers, color matching can be difficult. If all of the veneers and crowns are made of lithium disilicate or similar materials, the challenge is reduced. If esthetic requirements are high, a better result will be achieved by placing crowns on all of the teeth involved in spite of the more radical removal of enamel required for the less needy teeth.
Treating one tooth or multiples-Every dentist knows the difficulty of matching the color of one tooth in relation to the adjacent teeth. Crowns block the tooth stump color, while with a few exceptions, veneers take on some of the color of the tooth stump. The final color of a veneer is related to the remaining tooth structure, the cement used, and the color of the ceramic. This combination of three colors makes matching one veneer to adjacent teeth very difficult. Even though matching one crown to surrounding teeth is difficult, in my opinion, matching one veneer to surrounding teeth is more difficult.
Difficulty of placing veneers vs. crowns-Most clinicians agree that the veneer procedure is more difficult than the crown procedure. Prepping teeth for veneers is usually quite simple, but seating them requires meticulous attention for proper positioning and color, as well as avoiding breaking the veneers during cementation. This difference in difficulty has caused some dentists to charge higher fees for veneers than for crowns. With experience and repetition, veneer placement becomes relatively easy and predictable, and the results can be excellent.
Material type for veneers-Currently, lithium disilicate is the most popular material for ceramic veneers. Other similar materials are in the developmental stages and will soon be on the market. Fabrication of veneers using lithium disilicate is a relatively easy task for laboratory technicians, and the esthetic and strength are excellent. However, a recent survey of practitioners by Clinicians Report Foundation shows that use of feldspathic ceramic and leucite-reinforced ceramic (e.g., IPS Empress) is still popular but decreasing. Zirconia has caused a revolution in the profession, and crowns made of full-contour zirconia are more popular than PFM. As the esthetic characteristics of zirconia continue to improve, there is no question that zirconia veneers will achieve acceptance.
Advantages of ceramic veneers when indicated-In mature adults, the teeth have usually stabilized in positions that are related to occlusal contacts, muscle and tongue activity, chewing habits, and presence of any peculiar oral habits. When veneers are placed on the stable teeth, there is minimal post-treatment tooth movement or occlusal change. Every dentist has seen significant tooth movement that occurs for several weeks after crowns are placed.
Veneers, where indicated and properly accomplished, technically have near-optimum esthetic appearance for many years (figures 5, 6). That is not the case with many PFM crowns, which often show unsightly margin exposure and loss of superficial stains after only a few years. With the popularity and increased use of lithium disilicate restorations, which do not have a metal substructure, this veneer advantage may not be as observable in the future.
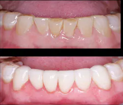
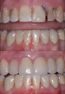
Figure 5: Although these six anterior teeth had significant facial caries and discoloration and required facial and proximal reduction, they had intact lingual surfaces. Veneers instead of crowns were planned for the patient.
Figure 6: The six anterior ceramic veneers on the teeth have served the patient well for several years.
Summary
Ceramic veneers are fantastic restorations for some patients. Crowns are also highly successful restorations. Making the decision concerning which is best for specific patients requires consideration of the numerous clinical characteristics discussed in this article. The materials and techniques available today for either type of restoration are the best in the history of dentistry. With proper placement, either restorative procedure will provide many years of service for patients.
Gordon J. Christensen, DDS, MSD, PhD, is a practicing prosthodontist in Provo, Utah. He is the founder and director of Practical Clinical Courses, an international continuing-education organization initiated in 1981 for dental professionals. Dr. Christensen is a cofounder (with his wife, Dr. Rella Christensen) and CEO of Clinicians Report (formerly Clinical Research Associates).
More of Ask Dr. Christensen
Pain medications are changing
Simple methods to increase service to patients and revenue
Implant placement vs. tooth retention
About the Author

Gordon J. Christensen, DDS, PhD, MSD
Gordon J. Christensen, DDS, PhD, MSD, is founder and CEO of Practical Clinical Courses and cofounder of Clinicians Report. His wife, Rella Christensen, PhD, is the cofounder. PCC is an international dental continuing education organization founded in 1981. Dr. Christensen is a practicing prosthodontist in Provo, Utah.






