Patients hate flippers and so should you
Originally posted in 2015 and updated regularly
What provisional do you use for your implant cases? I think the worst option is the flipper, aka acrylic removable partial denture. There are occasions when a flipper is the only option available, but I will bend over backward to find alternatives every time. Patients are going to be living with these things for three to six months during osseointegration, and sometimes months longer if there's grafting to be done first. That's a lot of time for a temporary restoration to disappoint us and our patients. Let's imagine the "perfect provisional":
- Super strong: No need for costly and time-consuming repairs
- Highly esthetic: Faithful reproduction of the tooth to be replaced
- Gingival sculpting: The ability to develop an emergence profile and support adjacent papilla
- Patient-fixed: The patient can't remove it but the dentist can, thus giving the patient maximum comfort and giving us maximum control for gingival sculpting
- Universal use: No concerns replacing anterior or posterior teeth
- Cost: We can keep our overhead low
- Gentle: There is minimal damage to supporting teeth and gingiva
Unfortunately, the Perfect Provisional doesn't exist yet. Instead, we are left with several options, each of which has its merits. I will briefly review my favorite options and why I use them; then I'll make a case for why the flipper is the worst of the bunch.
Temporary fixed partial denture
Strengths and weaknesses overview
- High strength
- High esthetics
- High ability to sculpt gingiva
- Fixed
- Anterior and posterior
- Low cost
- High risk of damage to surrounding structures
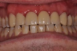
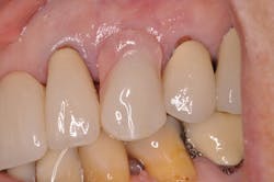
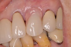
A temporary bridge is typically made from acrylic or bis-acrylic, so it's strong and can look outstanding. I can also easily add and subtract material to develop an emergence profile for the future restoration (figure 1). I cement these with a temporary cement (Temp-Bond NE, Kerr) so patients can function without fear of it flying out of their mouths. It's strong enough for the posterior and attractive enough for the anterior, so we have universal applications. If I make these chairside, then I can definitely keep costs down. Sounds like The Perfect Provisional, except for one last detail: The supporting teeth must be committed to crowns. There won't be any damage to the healing bone and gingiva, but the adjacent teeth must be prepared. This actually isn't a problem if these teeth can benefit from full-coverage restorations, but that is often not the case.
Figure 1: A temporary fixed partial denture from Nos. 6 through 11, replacing Nos. 8 and 9 with pontics. Increasing the length of the central incisors will be carefully controlled by adding acrylic to the intaglio surfaces of the pontics.
Maryland bridge
Strengths and weaknesses overview
- High strength
- High esthetics
- Low ability to sculpt gingiva
- Fixed
- Anterior only
- High cost
- Medium damage to surrounding structures
This is the provisional option that I use the most. Like the temporary fixed bridge, it has excellent strength and esthetics. It's fixed in place, so our patients are comfortable. Unfortunately, however, the fixation is achieved by etching and bonding the retentive wings to the adjacent teeth. This means we'll lose the ability to predictably remove it for pontic contouring. It's possible to remove these with a hemostat, but we may have to gently cut them off as well. The risk of damage to the adjacent teeth isn't very high, but it's worth noting. Another demerit is that, in my experience, we can only use these in the anterior. The forces of occlusion distal to the canines are too great and will shear these provisionals off. Finally, there will be higher overhead with Maryland bridges due to lab costs. Still, I enjoy using them for several months or even years prior to implant placement (figure 2).
Figure 2: Bilateral Maryland bridges replacing congenitally missing lateral incisors on a teenager
Snap-On Smile (Denmat)
Strength and weaknesses overview
- High strength
- Medium esthetics
- Medium ability to sculpt gingiva
- Fixed-removable
- Anterior and posterior
- High cost
- Low risk of damage to surrounding structures
Snap-On Smile, also known as "Snap-It!" for partial-arch applications, is a very durable option for patients. They can wear it 24 hours a day (except during hygiene) and the fit is quite snug, so it's almost like a patient-fixed option from a comfort point of view. The resin material is easy to trim but will require polishing. Adding material for pontic sculpting is possible but tricky. These cause no damage to the supporting teeth or healing tissues underneath. I think these can look great (figures 3a, 3b), but the material has a matte finish and lacks translucency, so be aware of cases in the anterior that may look asymmetrical. That's why I tend to use them for replacing posterior teeth, though they can look great in the anterior for the right case. Just keep in mind that there is a laboratory cost, so charge for the case appropriately.
Figures 3a, 3b: A Snap-It! Snap-On Smile replacing the mandibular second bicuspid
Essix retainer (Dentsply Raintree Essix)
Strengths and weaknesses overview
- Low strength
- Medium esthetics
- Low ability to sculpt gingiva
- Removable
- Anterior and posterior
- Low cost
- Low risk of damage to surrounding structures
This is what I use when I'm in a pinch. What do you do if you planned on immediately loading the implant but the surgeon calls it off after placement? What do you do if a patient somehow fractures his or her Maryland bridge? I love using an Essix retainer as a short-term solution while another provisional is being fabricated (like a new Maryland bridge). They look good if patients don't mind looking like they're wearing clear aligners (figure 4). They are removable, but unlike Snap-On Smile, they should be taken out during eating; otherwise we risk fracture. They can be used in the anterior or posterior and they won't damage the surrounding structures. Perhaps the best part is that you can really keep costs down if you have a thermoforming machine in your lab. No matter what type of emergency walks through your door, you can always replace a tooth relatively quickly and inexpensively if you can make an Essix on site.
Now that we've considered other provisional options, we can be more critical of the flipper. I have lectured on this topic many times over the years, and I find that it's still the go-to provisional option for many dentists. We can certainly agree that it's one of the more expensive for us to fabricate, thanks to the costly lab bill. But I'd like to make the more important case that flippers fail us clinically and in terms of patient satisfaction.
Figure 4: An Essix appliance replacing a maxillary lateral incisor
Figure 5: A flipper replacing a maxillary cuspid. Note the pink acrylic flange that contributes to the illusion of a distal papilla and buccal tissue thickness.
Flippers
Strengths and weaknesses overview
- High strength
- Medium esthetics
- Low ability to sculpt gingiva
- Removable
- High cost
- Medium risk of damage to surrounding structures
Flippers are deleterious to the peri-implant tissues in three ways:
- Pressure on the healing surgical site can be disastrous. Bone graft material can be displaced, an unintegrated implant can receive occlusal forces, and gingiva can be irritated.
- We miss an opportunity to develop an emergence profile. There is no pontic area on a flipper that can be meticulously sculpted to shape the gingiva into a cosmetically pleasing and hygienically accessible receptor site for the future abutment. Instead, we flatten out the gingival architecture.
- Flippers lie about the ultimate cosmetic result of the case. Although a patient may tolerate the esthetics initially, the flipper can promise the patient pink papilla that may not be present in the final restoration (figure 5). If the papilla is not filling the interproximal space during the provisional phase, it is unpredictable to presume that it will spontaneously grow after the final crown is inserted, thus leaving the dreaded black triangle. The flipper alternatives in Table 1 all allow a more accurate representation of the final cosmetics, thus permitting the dental team and patient to evaluate the need for additional surgical procedures (e.g., adding or subtracting gingiva) prior to inserting the final case.
Patient satisfaction
Perhaps you've already realized that our patients hate their flippers. But if you're in need of proof, I've got it for you. I've written two posts for my blog, The Curious Dentist, about when and why I use the flipper alternatives in different clinical situations.
A flipper shouldn't be your first choice: Alternative implant provisional restorations
Snap-on Smile as an alternative to a flipper
Although my blog is meant for dental professionals, anyone in the public can find it. At the time that I published these posts, I got hundreds of comments from patients venting about how much they really hate their provisionals:
"My dentist gave me a flipper, which is a disaster. It's extremely painful to wear and it flops up and down so it's hitting the extraction site to some extent." —Lora
"I have a flipper as a temporary but want a more comfortable option that I can eat and talk with more consistently for this coming year." —David
"They gave me a flipper but it hurts when it is in and I thought it was due to the recent tooth removal and will get better. However, I am finding it difficult to talk, eat, or even drink water when it is in." —Doris
That's right, patients are so uncomfortable with flippers that they Google their frustrations, find my blog for dentists, and then ask me to find them a new dentist. Of course, my response is always to sit down with their dentists and share their concerns. But it alarms me that the flipper is the breaking point for their patience.
I urge you to explore more creative provisional options with your patients. Flippers can do more clinical harm and cause more emotional distress for our patients than the alternatives reviewed here.
About the Author

Chris Salierno, DDS
Chief Dental Officer, Tend
Chris Salierno, DDS, is a general dentist from Long Island, New York. He graduated from Stony Brook School of Dental Medicine in 2005. Dr. Salierno lectures internationally on clinical dentistry, practice management, and leadership development. In 2017 he became a chief development officer with the Cellerant Consulting Group, and he was the chief editor of Dental Economics from 2014 to 2021. In 2021, he became the chief dental officer at Tend. He can be reached on Instagram @the_curious_dentist.
Updated May 13, 2022








