Restorative treatment for the aging patient
Q:
I am very frustrated with one part of my practice. Many mature patients in the latter decades of their lives have had numerous crowns placed. Obviously, the only observable part of the tooth is around the margin of the crown. Frequently, I see caries around the margins of crowns that either I or someone else placed years ago. The extent of caries involvement is impossible to determine. Repairing the crowns with direct restorations is usually a short-term fix, and the revenue received for these repairs barely pays my overhead. Additionally, many of these patients have low income and are unable to afford new crowns. What can I do to offer a better solution for my patients?
A:
Your frustration is shared by many dentists. Contrary to the beliefs of some patients, most crowns placed during middle age are not lifetime restorations. As is well known, many aging patients have a less than adequate diet, inadequate oral hygiene, failing restorations, and an income proven to be on average just above poverty level. I have some potential help for you!
ALSO BY DR. GORDON CHRISTENSEN | Cementing zirconia restorations
The inexpensive geriatric crown
The technique I will discuss in this article is one that can be easily incorporated into practice, and it solves most of the challenges we have already identified. Almost all general dentists use on a daily basis a procedure similar to the one I will describe to fabricate provisional restorations. I will show the illustrated steps first and then elaborate on the details of the technique.
This is my technique for an inexpensive geriatric crown:
1. Identify the caries on the crown margins and approximate the depth of the lesions.
2. Accomplish the following pretreatment tasks:
a. Determine financial constraints with the patient.
b. Discuss the potential treatment alternatives with the patient.
c. Obtain informed consent from the patient for your choice of treatment. Most patients choose the lower-cost interim procedure below.
3. Provide anesthesia.
4. Evaluate the surrounding tooth color and select a color of resin.
5. Make a rigid vinyl polysiloxane impression of the tooth with caries, including at least one or two teeth on both sides of the tooth to be restored.
6. Remove the defective crown.
7. Build up the tooth and prepare it for a crown.
8. Lubricate the tooth preparation and block out any undercuts on adjoining teeth if needed.
9. Place dual-cure resin-based composite in the impression and onto the preparation.
10. Allow the resin to set minimally. Do not allow complete set or it will be difficult to remove.
11. Remove the impression and the resin crown from the mouth.
12. Finish, polish, and cement the new restoration with resin-modified glass ionomer.
ALSO BY DR. GORDON CHRISTENSEN | Ask Dr. Christensen: Which dental technologies should I buy?
Caries identification
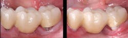
If the caries lesion appears to be deeply involved under the crown, accomplish the following crown technique. If not, conservatively remove the caries until sound tooth is found and restore the area with a cariostatic material, such as resin-modified glass ionomer or conventional glass ionomer (figure 1).
Figure 1: Fixed partial denture placed several years previously and repaired with 3M Ketac Nano resin-modified glass ionomer. This technique is commonly used, but it is seldom esthetically pleasing or long-lasting.
Financial challenges
Evaluate the patient's financial status by having a candid discussion with him or her. A conventional crown would be best if the patient can afford it. If not, continue.
Potential treatments for the tooth with the defective crown
The following are alternatives: place a new conventional crown; repair the margin with a cariostatic material; or if necessary, remove the tooth.
Informed consent
You have already provided informed consent if you have done the previous step. You are well advised to write or print the alternatives for patients to allow them to agree in writing to the discussed treatment plan. The components of informed consent are:
1. Alternative treatments
2. Advantages of each
3. Disadvantages of each
4. Risks of each
5. Costs of each
6. The result of no treatment
Anesthesia
Provide your usual anesthesia for the patient. Articaine is by far the most used at this time.
Tooth color
There are only a few dual-cure resin-based composites intended for direct restoration of teeth. The two that are recommended for this technique are Bulk EZ from Danville and HyperFil from Parkell (figure 2). It is unfortunate that neither product has more colors available, but choose the color closest to that of the surrounding teeth.
Figure 2: Two dual-cure, fully filled restorative resin brands that can be used to make a directly fabricated resin crown for a geriatric patient.
Preoperative impression
Most dentists are using rigid vinyl polysiloxane impression material as a matrix for their provisional restorations, which are usually made with bis-acryl resins. This is a similar procedure, but it uses fully filled resin-based composite as the restorative material for the new resin crown. Trim out any undercut pieces of impression material and ensure that the set impression can go into and be taken out of the mouth easily (figure 3).
Figure 3: A Blu-Mousse impression was made preoperatively on this simulated clinical situation. The second molar is treatment planned to receive a direct resin crown.
Remove the defective crown
This is regular conventional dentistry. Make a slot in the crown and remove it by torquing an instrument in the slot. Remove the old restorations in the tooth, caries, and any suspect sections of tooth structure and place build-up material if necessary.
Prepare the tooth for a crown
Make sure that there are no undercuts or the new direct resin crown will not come off the prep. Lubricate the tooth prep with copious separating material. Either glycerin or K-Y Jelly is adequate. K-Y Jelly is somewhat more viscous and is easier to use (figure 4).
Figure 4: The prepared tooth must have a significant amount of lubricant placed on it or the resin-based composite will not come off.
Place the dual-cure resin in the impression
Do not place too much or too little resin, or you will probably be redoing this step (figure 5). Place a piece of resin on your finger to determine when it is set enough to remove from the mouth.
Figure 5: The Bulk EZ resin-based composite material from Danville is injected into the site in the impression where the tooth preparation has been made, allowed to reach an initial-not final-set and removed from the mouth.
Remove the impression and the new crown from the mouth
Usually, the crown stays in the mouth on the tooth preparation, due to the shrinkage of the resin during polymerization, and it may need to be removed with a hemostat. Remember, do not leave any undercuts on the prep and do not let the restorative material set completely before removing it. After a few tries, you can judge the stage of set of the material (figure 5).
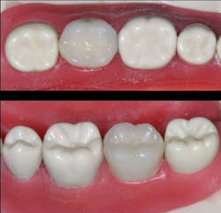
Finish and polish the new resin crown, and seat it with a resin-modified glass ionomer cement
When finishing, be very careful to leave the margins intact. This is the final crown for the patient (figure 6)!
Code this crown as a resin crown.
Figure 6: The finished and polished resin crown has been cemented with resin-modified glass ionomer cement to take advantage of the cariostatic characteristics of that cement-in this case, the popular 3M RelyX Luting Plus was used.
Summary
Previously placed crowns on mature patients often have significant caries involvement, and frequently new crowns are not possible because of financial limitations. In this article, a relatively inexpensive resin crown technique has been described that will satisfy the needs of some mature patients who have extensive caries on teeth that have had crowns placed previously.
Practical Clinical Courses
Some of our educational products relate directly to this article:
• One-hour video: Treating the Aging Population-A Frustrating Challenge-Item V4777
• One-hour video: Affordable Treatment of Complex Rehabilitative Needs-Item V1964
• One-hour video: Drugs, Bugs, and Dental Products: What to Prescribe-Item V3968
• Two-day hands-on course in Utah: Restorative Dentistry 1 (Operative/Esthetic/ Preventive)-August 26-27, 2016
• Two-day hands-on course in Utah: Restorative Dentistry 2 (Fixed Prosthodontics)-October 14-15, 2016
• Twenty-three short patient education videos: Subjects include almost every area of dentistry, either separate or as a series, providing patient information and informed consent (Administered by staff)-Items DP50 and DP51i
Gordon J. Christensen, DDS, MSD, PhD, is a practicing prosthodontist in Provo, Utah. He is the founder and director of Practical Clinical Courses, an international continuing-education organization initiated in 1981 for dental professionals. Dr. Christensen is a cofounder (with his wife, Dr. Rella Christensen) and CEO of Clinicians Report (formerly Clinical Research Associates).






