Adhesive cementation of CAD/CAM direct ceramic restorations
CAD/CAM restorations are constantly becoming more popular due to advances in materials and equipment. They can be cost-effective and beautiful for those able to master the process.
The ability to develop a strong bond between a ceramic restoration and a tooth is one of the most important elements in the clinical success of CAD/CAM ceramic restorations.1 Resin luting agents are currently the desired material of choice for adhesive cementations of ceramic restorations. These cements provide several advantages, such as a durable, strong bond to the tooth and ceramic; good color match; margins that can be polished; and convenient delivery systems.2
There are a number of factors involved when selecting an adhesive luting technique for cementation of direct CAD/CAM restorations. The clinician's personal preference will influence the type of cement, available shades, delivery system, and product cost. If you need to evaluate the restoration for shade before final cementation, the use of try-in pastes is essential. Note that try-in pastes usually are not required for posterior restorations. The polymerization reaction may also be a consideration in cement choice. The setting time of visible light-cured cement can be controlled by the application of the curing light. This maximizes the time available to clean up excess cement after placement, whereas self-cured cements are limited to setting time after mixing.3
There are many reasons why dual-cured composite-resin luting agents are chosen for posterior ceramic restorations. One reason is because of the inability to predictably photo-polymerize through thicker ceramic restorations. Dual-cured cements allow the clinician extended working times and fairly controllable polymerization. The vast majority of published literature indicates that dual-cured composite resin cements should be light cured, rather than just relying solely on the self-cure components, to achieve a maximum bond to the tooth.4 Several in-vitro studies have also documented a lower conversion rate for dual-cure resin cements after chemical curing compared to when they are also light cured.5 Another important consideration for the dentist is the degree of radiopacity of the luting cement. The more radiopaque resin luting agents are identified more easily in post-cementation radiographs, making cleanup and recognition of margin integrity easier.
Perhaps the most prevailing reason dentists choose cement is the efficiency of clinical technique. Although the total-etch technique has considerable clinical evidence of its success, the proper isolation required for predictable bonding has made clinicians interested in materials that require less time to place and cure. The selection of self-etching cements can reduce the required time for isolation by several minutes. This can be especially true in areas where creating predictable cavity isolation is difficult. Many consider this a significant advantage as it may reduce the risk of less-than-optimal adhesive bonding as well as postoperative sensitivity related to total-etch technique.
Materials that give clinicians the option of self-etch, selective-etch, or total-etch techniques of bonding a resin luting agent allow for the flexibility. One such system that is available for adhesive luting of direct ceramic restorations is Futurabond U (figure 1) with Bifix QM (Voco). Futurabond U is a dual-cure universal adhesive in a single-dose delivery system for direct and indirect restorations using any light-, self-, or dual-curing methacrylate-based restorative, core build-up, or luting composite. Bifix QM (figure 2) is a radiopaque, dual-cured resin luting agent that comes in three shades: universal, white opaque, and translucent. This cement has shown great bond strength to bonded ceramics and zirconia restorations.6,7
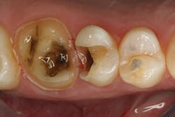
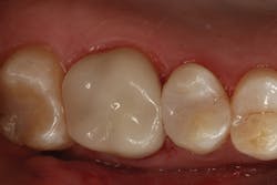
The clinical case in Figure 3 illustrates a patient who presented with a large, failing restoration containing cracks and decay. The patient was interested in an all-ceramic restoration. Occlusion was checked with articulating paper prior to treatment with a CAD/CAM restoration (figure 4). All previous restorative materials were removed from the tooth (figure 5). The tooth was restored using Grandio Core Dual Cure (Voco) build-up material (figure 6). A crown preparation was completed for a chairside CAD/CAM crown using the CEREC system (Dentsply-Sirona). The material of choice for this restoration was IPS e.max CAD (Ivoclar Vivadent), which is seen in Figure 7 after milling and in precrystallization form. The restoration was tried in and then polished, glazed, and placed in the oven for crystallization. The internal surface was then etched with 4.9% hydrofluoric acid, rinsed, and then coated with a silane coupler to create an optimal surface for bonding with the resin luting agent. The tooth was isolated and cleaned prior to etching. Once etched, the adhesive bonding agent (Futurabond U) was activated to mix the two liquids within the single-dose blister package. The blister seal was broken with the bonding agent brush and the adhesive was applied and agitated for 20 seconds. The adhesive was lightly dried for five seconds and then cured with an LED curing light for 10 seconds. A dual-cured adhesive resin luting agent (Bifix QM) was dispensed into the crown with its automix syringe (figure 8). The crown was seated and excess cement was removed after a two-second light cure. The tooth was then flossed and occlusion was checked (figure 9). The patient was very satisfied with the final result.
As CAD/CAM dentistry grows, the clinical bond between the restoration and the tooth becomes exceedingly important. Having materials with a strong history of studies backing them and that are flexible in use (self-, selective-, or total-etch) allows for great results. Meanwhile, using dual-cure cements allows clinicians to be assured of a solid cure in the posterior of the mouth and through thicker or more opaque ceramics. The dentist benefits from having happy patients who refer and grow the practice-while the patient benefits because the restoration can be completed in a single appointment with excellent results.
Figure 1: Futurabond U dual-cure universal adhesive and single-dose blister package (lower left; Voco)
Figure 2: Bifix QM dual-cured radiopaque adhesive luting system (Voco)
Figure 3: A large, failing restoration containing cracks and decay
Figure 4: Failing restoration after being checked with occlusion paper
Figure 5: Teeth after all previous restorations have been removed
Figure 6: Teeth after restoration with Grandio Core Dual Cure build-up material (Voco)
Figure 7: Crown preparation during try in
Figure 8: Crown after dispensing of a dual-cured adhesive resin luting agent (Bifix QM)
Figure 9: Completed restoration
References
1. McLaren EA, Hyo L. CAD/CAM update: Technologies and materials and clinical perspectives. Inside Dent. 2006;2(9):98-103.
2. Posselt A, Kerschbaum T. Longevity of 2328 chairside CEREC inlays and onlays. Int J Comput Dent. 2003;6(3):231-248.
3. Reiss B. Clinical results of CEREC inlays in a dental practice over a period of 18 years. Int J Comput Dent. 2006;9(1):11-22.
4. Garcia RN, Reis AF, Giannini M. Effect of activation mode of dual-cured resin cements and low-viscosity composite liners on bond strength to dentin. J Dent. 2007;35(7):564-569.
5. Shimura R, Nikaido T, Yamauti M, Ikeda M, Tagami J. Influence of curing method and storage condition on microhardness of dual-cure resin cements. Dent Mater J. 2005;24(1):70-75.
6. Mohs T, Wappler P, Bekes K, Schaller HG, Gernhardt CR. Microtensile bond strength of resin cements used with different ceramics. Abstract presented at: 42nd annual meeting of IADR-Continental European and Israeli Divisions; September 26–29, 2007; Thessaloniki, Greece. Abstract 183.
7. Toman M, Toksavul S, Artunç C, Türkün M, Schmage P, Nergiz I. Influence of luting agent on the microleakage of all-ceramic crowns. J Adhes Dent. 2007;9(1):39-47.
Sam J. Halabo, DMD, is an accomplished national and international speaker, author, and product evaluator. For over 20 years, he has run a state-of-the-art private practice in San Diego, California. He is a graduate of Boston University's Goldman School of Graduate Dentistry and he completed a general practice residency at the Loma Linda Veterans Hospital. He is an adjunct faculty member at the University of California at San Diego. He can be reached at [email protected].









