Are fixed or removable prostheses best for edentulous patients?
Q+A
In this monthly feature, Dr. Gordon Christensen addresses the most frequently asked questions from Dental Economics readers. If you would like to submit a question to Dr. Christensen, please send an email to [email protected].
Q
I frequently see full-page ads in newspapers promoting the All-on-4 fixed-implant concept for the restoration of teeth for edentulous patients. I have several patients in my practice who have had this treatment, and I notice significant challenges with it. Am I seeing only the problem cases, or are there known limitations with this technique?
A
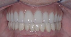
The most well-known implant-supported fixed restoration concept for edentulous patients was taught by Per-Ingvar Brånemark, MD, PhD, more than 30 years ago. Typically, six implants were placed on each arch, located anterior to the sinus on the maxillary and anterior to the mental foramen on the mandibular. When the implants had integrated into the bone over several months, a prosthesis was screwed onto the implants. Cantilevers were extended on each side of the arch, about one centimeter distal to the implant-supported portion of the prosthesis. The prostheses usually included 12 teeth, including the first molar only distally. Overall, these prostheses served well (figure 1). If one or two implants failed, which occasionally happened, the prostheses usually were still viable and functioned adequately.
Figure 1: Patient with maxilla restored with the previous popular concept using six implants as described in the narrative
Practitioners who used this technique, myself included, learned a great deal of empirical information by observing these prostheses for up to 30 years. This information can be easily related to the current All-on-4 concept.
Advantages of fixed prostheses for edentulous patients
The single major advantage of a fixed prosthesis is that the restoration itself is fixed in place by one of several clinical procedures. Since the prosthesis does not move, it is stable and does not feel as if it will fall out or dislodge. All dentists have had patients state that they want their prosthesis to be nonremovable. Most of these patients have suffered with removable complete dentures, and many have been highly frustrated with their mandibular prostheses. The fixed prosthesis offers the most realistic feeling of the alternative treatments without the physical challenges of having to deal with the prosthesis.
The psychological advantage of having a fixed prosthesis is easily understood. The patient does not have to contend with the prosthesis coming in and out and the embarrassment of having friends or family members know about their edentulous condition. The patient can feel whole again and enjoy higher self-esteem. Most patients in such circumstances may even have a new zest for life.
However, there is also a downside to the fixed-prosthesis concept, which should definitely be explained to patients who are considering this alternative.
Figure 2: Patient with maxillary and mandibular All-on-4 prosthesis shows sunken face, vertical lines in upper lip, and lack of original facial fullness. The smile is also shrunken and distorted. This is a common problem with the fixed treatment concept.
Limitations of fixed prostheses for edentulous patients
Recently, Clinicians Report Foundation conducted a survey on fixed prostheses for edentulous patients.1 The results were quite interesting and useful. Fixed prostheses are limiting in a few areas, and here’s what we learned.
Esthetics—A removable prosthesis supported and retained by implants fabricated for an edentulous patient can reproduce any esthetic situation desired. The denture flanges can reproduce the lip and face fullness lost by the removal of teeth and shrinkage of the soft and hard tissues.
Unlike a removable prosthesis, a fixed prosthesis can seldom be constructed to fully replace the contours of the face that were present before the teeth were extracted (figure 2). Why is that so? The pink soft-tissue replacement material—currently mostly polymethyl methacrylate or zirconia—must be reduced in contour and opened up enough to allow for cleaning of the prosthesis. The prosthesis cannot have a ridge lap (saddle) design, as with a removable design. The apical portion of the prosthesis must be convex because the convex design allows the underside of the prosthesis to be cleaned with pipe cleaners, a Waterpik water flosser (Water Pik Inc.), floss, or other oral hygiene aids. The flanges of the prosthesis usually cannot be contoured to the optimum degree allowed by a removable prosthesis, which can be taken out of the mouth for cleaning.
Due to all the reasons explained above, the esthetic result can almost always be better with a removable prosthesis.
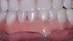
Oral hygiene—When patients with a removable prosthesis have eaten and food debris are left under the denture, they can easily clean the prosthesis in seconds by taking it out and cleaning it in their hands. Many fixed prostheses, such as the ones shown in Figures 1 and 2, cannot be cleaned well. Cleaning requires significant time and effort, and there is often not adequate access to allow cleaning under the prosthesis. The result is usually red, inflamed, and sometimes painful soft tissue (figure 3). If significant ridge lap has been necessary for esthetic reasons, such as that shown in Figure 4, the result may be not only inflamed and irritated soft tissue, but also bad breath caused by the stagnant food debris that are impossible to remove from underneath the prosthesis.
Figure 3: Same patient as shown in Figure 2. This time, the tissue is red and inflamed due to the patient’s inability to clean properly under the prosthesis.
Figure 4: I placed this fixed prosthesis 20 years ago, and it had to have more facial fullness to reduce the typical sunken facial form. After 20 years of service, the irritation of soft tissue is still obvious.
Speech challenges—Often, edentulous patients with fixed prostheses complain of lisping or a whistle sound due to spaces underneath the prosthesis (figure 5). This condition is most common when the implants have been placed and not allowed to mature, causing soft-tissue shrinkage that occurs as subsequent healing occurs.
Figure 5: The space under the fixed prosthesis produced an objectionable hiss and lisp as the patient spoke.
Cost of fixed versus removable—A fixed prosthesis for an edentulous patient placed over four implants costs about two to four times more than a removable prosthesis placed over four implants. For patients with minimal financial resources, the removable option is far more appealing. If the prosthesis is placed over two implants instead of four implants, the cost differential is even more appealing, and many of the advantages of removable are still present.
Having placed many implant-supported fixed and removable prostheses for edentulous patients over a period of about 30 years, I have occasionally replaced worn-out fixed prostheses over implants with removable ones and had patients comment as follows: “Why didn’t you place the removable one in the first place? I like it better.”
Elimination of the necessary periodic removal and replacement procedure
The fixed prosthesis, held in place by screws through the prosthesis and plugged with resin to fill the holes, should be removed periodically for optimum cleaning and evaluation of implant health. According to surveys we have conducted, the average clinical time interval for this procedure is about once per year. Until recently, this process was tedious and time-consuming, requiring up to an hour to remove, clean, and replace the prosthesis.
The Zest Locator F-Tx fixed attachment system (Zest Dental Solutions) has greatly reduced this frustrating procedure through the use of highly retentive abutments with a prosthesis that is removable only by dentists or educated staff. This concept allows fixed prostheses to be removed and replaced in minutes.
Prosthesis repair
When a removable implant-supported prosthesis needs to be repaired, the process usually can be accomplished in a few minutes. When a fixed prosthesis needs repair, depending on the way it is attached to the implants, repair can sometimes require significant time and effort.
Conclusion
The major advantage of placing a fixed prosthesis over implants for an edentulous patient is that it is fixed. It is difficult to identify other significant advantages when compared with removable options. Fixed prostheses can be excellent for some edentulous patients. However, it is important to provide thorough informed consent about all other treatment alternatives to your patients.
Author’s note: Additional educational resources are available from Practical Clinical Courses, some of which relate directly to this article:
Two-day courses in Utah
• Implementing Cone Beam Imaging into Your Dental Practice with Dale Miles and Dr. Gordon Christensen: June 1–2, 2018
• Restorative Dentistry 3—Advanced Fixed and Removable Prosthodontics with Dr. Gordon Christensen: July 20–21, 2018
• Implant Surgery – Level 1 with Dr. Gordon Christensen: September 7–8, 2018
One-hour CE videos
• Implementing Cone Beam CT Imaging into Your Practice (Item No. V1174)
• Simple, Inexpensive Implant Solutions for Edentulous Mandibles (Item No. V2388)
For more information about these educational products, call (800) 223-6569 or visit pccdental.com.
Reference
1. Christensen GJ. Implant-Supported Fixed vs. Removable for Edentulism? Clinicians Report. March 2017;10(3).
Gordon J. Christensen, DDS, MSD, PhD,is a practicing prosthodontist in Provo, Utah. He is the founder and CEO of Practical Clinical Courses, an international continuing education organization founded in 1981 for dental professionals. Dr. Christensen is cofounder (with his wife, Dr. Rella Christensen) and CEO of Clinicians Report.










