The new classification of periodontal disease that you, your patient, and your insurance company can understand
Scott Froum, DDS
Recently, a committee representing both the American Academy of Periodontology (AAP) and the European Federation of Periodontology (EFP) met with the charge of updating the 1999 classification of periodontal disease and conditions.1 The Proceedings of the World Workshop on the Classification of Periodontal and Peri-Implant Diseases and Conditions consists of 19 review papers and four consensus reports.
This article will provide a simple summary of the new classification of periodontal disease and peri-implant disease, as well as discuss staging and progression of periodontitis. This information can be used to explain treatment needs to both patients and insurance companies. For more detailed information regarding changes to disease classification, it is recommended that the full proceedings of the World Workshop of the AAP and EFP be consulted.2
According to the new classification scheme, periodontal disease and conditions can be broken down into three major categories, each with subcategories.
Periodontal disease and conditions
Periodontal disease and conditions can be broken down into three categories:
• Periodontal health and gingival diseases—periodontal and gingival health, gingivitis caused by biofilm (bacteria), gingivitis not caused by biofilm
• Periodontitis—necrotizing diseases, periodontitis as a manifestation of systemic disease, periodontitis (more detailed explanation below)
• Other conditions affecting the periodontium—systemic diseases affecting the periodontium, periodontal abscess or periodontal/endodontic lesions, mucogingival deformities and conditions, traumatic occlusal forces, tooth- and prosthesis-related factors
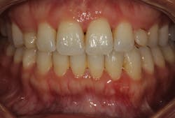
Figure 1: Stage I periodontitis
Peri-implant diseases and conditions
Peri-implant diseases and conditions can be broken down into four major categories:
• Peri-implant health
• Peri-implant mucositis
• Peri-implantitis
• Peri-implant soft- and hard-tissue deficiencies
According to the new classification, when describing periodontitis, we now have to clarify the stage, extent, and progression with anticipated treatment response. The staging of periodontitis is based on both severity and complexity of management.
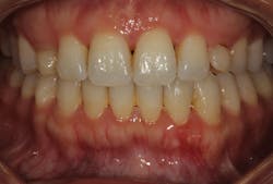
Figure 2: Stage II periodontitis
Staging of periodontitis
The four stages of periodontitis are described as follows:
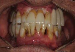
• Stage I (initial)—1–2 mm clinical attachment loss (CAL), less than 15% bone loss (BL) around root, no tooth loss due to periodontal disease, probing depth (PD) 4 mm or less, mostly horizontal BL (figure 1)
• Stage II (moderate)—3–4 mm CAL, 15%–33% BL, tooth loss, PD 5 mm or less, mostly horizontal BL (figure 2)
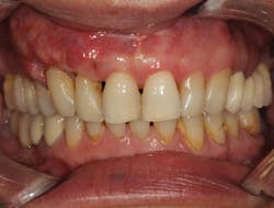
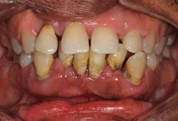
• Stage III (severe with potential for additional tooth loss)—5 mm or more CAL, BL beyond 33%, tooth loss of four teeth or fewer, with complex issues such as PD 6 mm or more, vertical BL 3 mm or more, Class II–III furcations, and/or moderate ridge defects (figure 3)
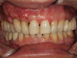
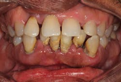
• Stage IV (severe with potential for loss of dentition)—Encompasses all of Stage III with additional features that will require the need for complex rehabilitation due to masticatory dysfunction, secondary occlusal trauma, severe ridge defects, bite collapse, pathologic migration of teeth, fewer than 20 remaining teeth (10 opposing pairs) (figure 4)
Figure 3: Stage III periodontitis
Extent and distribution of periodontitis
The extent and distribution of periodontitis is categorized as follows:
• Localized—BL is around less than 30% of teeth in mouth
• Generalized—BL is around more than 30% of teeth in mouth
• Molar-incisor—BL is found around molar (usually first) and anterior incisors
Figure 4: Stage IV periodontitis
Grading of periodontitis
Grading periodontitis includes assessment of the rate of progression and the anticipated response to treatment. Under the new classification guidelines, periodontitis can be broken down into three grades:
• Grade A (slow progression)—No BL or CAL over five years, no smoking, no diabetes, heavy biofilm but no destruction
• Grade B (moderate progression)—Less than 2 mm BL or CAL over five years, half pack or less per day smoking, HbA1c less than 7%, biofilm commensurate with destruction
• Grade C (rapid progression)—Greater than 2 mm of BL or CAL over five years, half pack or more per day smoking, HbA1c 7% or higher, destruction exceeds amount of biofilm
Author’s note: The author would like to thank Vincent J. Iacono, DMD, distinguished professor and chair of the Department of Periodontology at SUNY Stony Brook School of Dental Medicine, for his assistance with summarizing a significant amount of information associated with the new classification of periodontal and peri-implant disease.
Editor’s note: This article originally appeared in Perio-Implant Advisory, a newsletter for dentists and hygienists that focuses on periodontal- and implant-related issues. Perio-Implant Advisory is part of the Dental Economics and DentistryIQ network. To read more articles, visit perioimplantadvisory.com, or to subscribe, visit dentistryiq.com/subscribe.
References
1. Armitage GC. Development of a classification system for periodontal diseases and conditions. Ann Periodontol. 1999;4(1):1-6. doi:10.1902/annals.1999.4.1.1.
2. Caton G, Armitage G, Berglundh T, et al. A new classification scheme for periodontal and peri‐implant diseases and conditions – Introduction and key changes from the 1999 classification.
J Clin Periodontol. 2018;45(suppl 20):S1-S8. doi:10.1111/jcpe.12935.
Scott Froum, DDS, a graduate of the State University of New York, Stony Brook School of Dental Medicine, is a periodontist in private practice in New York City. He is the editorial director of Perio-Implant Advisory and serves on the editorial advisory board of Dental Economics. Dr. Froum, a diplomate of the American Board of Periodontology, is a clinical associate professor at SUNY Stony Brook School of Dental Medicine in the Department of Periodontology. He serves on the board of editorial consultants for the Academy of Osseointegration’s Academy News. Contact him through his website at
drscottfroum.com or (212) 751-8530.





