Is it time to revitalize your practice?
Q: I purchased the practice of a retiring dentist about 15 years ago after I graduated from dental school. I took over his practice in the same office he had used for most of his career. Most of his patients have stayed with me, and the practice has continued to attract some new patients over that time as well as serve me and my family financially. However, the practice seems to be getting stagnant, and I do not have the same enthusiasm for it that I had many years ago. What do you suggest for revitalizing the practice?
A: Change of any type is motivational, but what type of change? I will provide some thoughts and experiences that have kept me stimulated about dental practice for several decades. My pleasure and enjoyment with the profession has not diminished. My comments probably relate to many dentists, irrespective of their years in practice, who have feelings such as you have expressed.
Also by the author:
- Increasing practice activity: An ongoing team effort
- Occlusion in 2022: The forgotten area in dentistry
I suggest you look at the following factors concerning your practice. I feel confident that at least some of the topics concerning practice change will relate to you and your situation. Incorporating them will revitalize your practice, but in my experience, the same challenges will recur again after a few years if you don’t innovate and change every few years.
Geographic location
Are you satisfied with your practice location? Consider the state/province/country in which you practice. If you feel you and your family need a major move, take the time to search the internet concerning the areas that appeal to you. Select a few areas that appear to be attractive and initiate an investigation of all aspects of life in the respective cities. Finally, get information about the dental profession in those areas. Usually, the executive director of the local dental society can provide detailed information for you as well as discussions with individual dentists in the area.
Assuming your current overall location is acceptable, would you rather be in some other part of the city in which you are currently practicing? Has it been good? Do you dream of some other location? I have known many dentists who have left their geographic location after years in their original practice location. Moving is a major change, but it energizes you and your family and offers a new beginning in most areas of life. If the new location is close to your old location, some patients will follow you and others will not. Assuming you have selected an appropriate location, establishing a new practice can require a significant amount of time or, in areas of population growth, it can be relatively easy. You have done it before and should know what to expect. There is usually no question that such a move will revitalize you and will be a new beginning for your practice.
Physical office facility
If you have decided to stay where you are now located, there are many factors you can consider changing to revitalize your practice. Typical dental offices have a lot of activity going on all the time, and the offices soon become worn and out-of-date. Your office may be too small or even too large. The outside physical appearance may be shoddy. The landscaping may be overgrown and unattractive. What can be done to remedy these factors?
Office décor
Assuming the office’s physical facility is the right size and does not need significant remodeling, the next factor to consider is the office appearance. The décor provides the patient’s first impression of your office. Is it old and worn? Does it have a “dental office” smell? Are the colors in your office a generation or so out-of-date? Do you still have old, worn carpets in the operatories? The new generation of solid flooring is especially good for dental offices. Such floors are easy to clean and much better for infection control. If you aren’t related to or employ someone with design talents, contact an interior decorator to update your office. This change provides a feeling of newness for you, your staff, and importantly, your patients. Don’t expect this change to last for many years. I have long suggested that busy dental offices with high patient traffic should consider a décor update at least once every five years.
Office equipment
Are you using the major equipment that was in the office when you originally bought it? Although some basic dental equipment can be used for many years, other equipment (especially technology) changes often. Consider the patient operating chairs, assistant and dentist chairs, operating lights, curing lights, radiographic equipment, cabinetry, suction system, and many other items. Upgrades of such major equipment provide not only a sense of being up-to-date, but they also increase office effectiveness and practice efficiency.
Types of dental services you provide
Many dentists like to accomplish almost all dental procedures. If you are one of those general dentists, this topic is not important to you. However, some dentists do not like doing certain procedures or feel incompetent when doing them. Which procedures do you dislike? Which procedures are difficult for you? Eliminate them from your practice. What happens to the other procedures? There are now 12 American Dental Association recognized specialties. Identify specialists in your area to whom you can refer the procedures you don’t want to do and refer your patients to those doctors.
Which preventive, restorative, and surgical procedures do you like to do? Determine which procedures you feel you accomplish very well and without constant stress. These are the procedures you should emphasize. Become the best dentist in your area in the procedures you do best and eliminate the remainder.
Expanded clinical functions for staff
Depending on the practice regulations in your area, many procedures can be legally delegated to educated/trained staff, relieving you to do only those procedures you like to accomplish and that you do well. According to surveys by Clinicians Report Foundation (CR), not all dentists want to delegate procedures, and that is certainly their choice. However, in my career, delegation of many clinical techniques to staff has allowed me to be involved with civic, religious, and personal activities in which I would not have been able to participate without delegating those responsibilities.Dental technologies and new concepts
One of the concepts that has kept me stimulated about the profession for the several decades I have practiced is looking for the new concepts, materials, devices, and techniques introduced routinely into the profession and incorporating some of them into my practice. Each year for most of my career, I have identified a new concept to introduce into the practice, obtained adequate education on the concept, and integrated it into the practice.
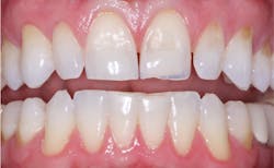
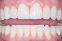
Analyze the technologies or other new concepts in which you have an interest. If a specific technology or concept appears that it will make a service faster, easier, better, and cost less than the procedure you are now using, investigate further. Talk to dentists who are using the technology you are considering. If they concur with you on its value—get it (figures 2 and 3). The education and experience of learning to use a new concept motivates staff, and some technologies can produce better service for your patients. Be careful, however—not even one-half of the technologies evaluated by CR made the specific procedures faster, easier, better, and less expensive than the conventional procedure they had been developed to replace.
Repetitive procedures accomplished again and again usually become monotonous and boring. Dentists and dental staff are not immune to this malady. Revitalizing a dental practice should be done periodically by changing some factors, including physical facilities, techniques provided, how the techniques are provided (conventional or technological), where they are provided, and by whom they are provided. This article includes some ideas to assist in revitalizing dental practices.
Editor's note: This article appeared in the April 2022 print edition of Dental Economics magazine. Dentists in North America are eligible for a complimentary print subscription. Sign up here.
Author’s note: The following educational materials from Practical Clinical Courses offer further resources on this topic for you and your staff.
Upcoming virtual classes:
- 50 Useful Clinical Tips – 2022 with Dr. Gordon Christensen on March 19, 2022
- Technologies to Change Your Practice – NOW! with John Flucke, DDS, on April 16, 2022
One-hour videos:
- Multiple Patient Scheduling – Working Smarter, Not Harder (Item #V4794)
- Optimizing Dental Hygiene to the Next Level (Item #V4799)
Two-day hands-on course in Utah:
- Igniting the Leader in You! with Robert Spiel
For more information, visit our website at pccdental.com or contact Practical Clinical Courses at (800) 223-6569.
About the Author

Gordon J. Christensen, DDS, PhD, MSD
Gordon J. Christensen, DDS, PhD, MSD, is founder and CEO of Practical Clinical Courses and cofounder of Clinicians Report. His wife, Rella Christensen, PhD, is the cofounder. PCC is an international dental continuing education organization founded in 1981. Dr. Christensen is a practicing prosthodontist in Provo, Utah.


