Are endodontic posts really necessary?
Q: I have restored many endodontically treated teeth on which I have placed crowns with and without posts. Some of them have broken off in service and others have had no problems. I am uncertain about using posts in
endodontically treated teeth. Some course instructors teach the importance of using posts, while others say they aren’t necessary. What is your opinion? Should I use them or not?
A: Your question can’t be answered with a simple one-word answer. The research literature is confounded with answers varying from, “Yes, use posts” to saying posts do not increase tooth strength so we should not use them.
As you may know, I am a prosthodontist with several decades of practice. I have placed thousands of crowns, about 10% of which were on endodontically treated teeth. I have also had the same question as you, and our scientific staff at Clinicians Report Foundation has tested the difference in strength of teeth with and without posts.My answers to you will be based on both scientific evidence and my empirical experience.
More by the author:
Why should we use posts?
This question is often answered with a simple statement that I will refute. Some clinicians state that the only reason for posts is to connect the coronal buildup of a broken-down tooth to the remaining root structure.
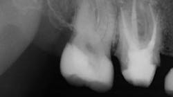
Because of the controversy and confusion about whether posts increase the strength of endodontically treated teeth, our research organization tested that subject. The results are available in the May 2004 issue of Clinicians Report (CR). Research showed that properly placed posts of any type available at the time increased the strength of endodontically treated teeth. Therefore, set that controversy aside. Posts strengthen teeth despite some contrary reports in the literature (figures 1 and 2).When should we use posts?
Posts should be used in some, but not all, endodontically treated teeth. The situations in which posts should be used to add significant strength are:
- Bruxing patients. Over 30% of adult patients are bruxers who place up to four times more force on their teeth than nonbruxers.
- Maxillary canines. These teeth take the entire occlusal load in lateral excursions. About 75% of the adult population has this so-called canine rise. In these cases, the canine takes the total lateral load during occluding. These canines need optimum strength, or they should be reduced in height to allow group function with the remaining posterior teeth.
- Teeth with no adjacent tooth support. These take a major load, especially if they are holding a removable partial denture.
- Abutment teeth for fixed partial dentures. These must carry far more load than “normal” teeth to allow the pontics replacing the missing teeth to function adequately.
- Other situations. Cases in which a greater than normal load is anticipated.
What type of post is best?
Until recent years, custom cast-metal posts were the dominant product used since the beginning of modern dentistry. These posts were time-consuming, requiring at least two appointments. Provisional restorations were difficult to retain on the teeth. The metal posts were rigid, and a blow or excess force applied to the endodontically treated tooth often caused vertical fractures and made extraction necessary.
Prefabricated metal and zirconia posts started to be used more than 40 years ago. The metals were usually stainless steel, titanium alloy, or pure titanium. Some of the metal posts were rigid, having the same challenges as cast-gold alloy posts. Others were quite malleable, allowing the post to bend and the crown to move in the direction of the applied force. Some patients were sensitive to the nickel in stainless steel posts, causing gingival irritation. Zirconia posts were rigid with the expected adverse potential cracking of traumatized teeth.
Today, fiberglass-reinforced composite posts are the ones most used. Some prefabricated metal posts are still used, but custom cast-gold alloy or zirconia posts are seldom used.
What are the characteristics of fiber-reinforced composite posts? They have flexibility, which results in fewer cracked teeth when patients suffer a forceful blow to the tooth. The research shows these posts have slightly less strength than strong metal posts, but that is good in this case. If the tooth is subjected to a blow, the crown usually comes off instead of the tooth cracking vertically. Fiber-reinforced posts are very simple to place and require only a few minutes when using an organized clinical procedure. When properly placed, these posts appear to provide near optimum characteristics after years of use.
What cement should be used for posts?
The cement used most in dentistry by far is resin-modified glass ionomer (and rightfully so) for zirconia, porcelain-fused-to-metal (PFM), and metal crowns. Among the most popular brands are 3M RelyX Luting and GC Fuji Evolve. However, do not use these cements for posts because they have slight expansion on setting. That expansion can cause stress inside the root canal channel.
Ideal post placement
What are the characteristics of a well-accomplished post (figure 3)?
A 1.5 mm to 2.00 mm ferrule around the crown preparation on the marginal area is a highly significant feature. Although there are times when this is impossible due to the short length of the prep and the necessity to avoid harm to the epithelial attachment, the success of the post, core, and crown are compromised if a ferrule is not present. Surgical crown lengthening is an alternative in some clinical situations if it will not compromise the esthetic acceptability of the patient’s smile.
If more than one-half of the tooth’s coronal portion is missing, increasing the antirotational and strength characteristics of the coronal buildup is mandatory by placing retentive metal pins. Pure titanium pins (Filhol Filpin) are ideal because they do not crack the tooth structure, which is usually the case with more rigid stainless steel or titanium alloy pins (figure 4).The submerged post length should be at least one-half of the bony supported length of the tooth. This recommendation is contrary to some suggestions to make the posts extend down three-quarters of the root length. The one-half recommendation, when properly done, is as retentive as placing the post deeper, and it prevents root perforations.
Building up the tooth to simulate a normal tooth prep is accomplished mostly with resin. However, composite and the newer glass ionomers (3M Ketac Universal, GC Equia Forte, and others) can be used in areas not needing high strength. Amalgam is seldom used as a buildup at this time.
Conclusion
In many clinical situations, posts are necessary to strengthen endodontically treated teeth and to connect the coronal buildups to the remaining root structure. Fiber-reinforced posts are most common and are highly successful if used properly. Resin cement is indicated for cementing posts. Upgrade your knowledge on the state-of-the-art in successful post placement.
Author’s note: The following educational materials from Practical Clinical Courses (PCC) offer additional resources on this topic for you and your staff.
One-hour videos:
- Posts, Cores, and Build-ups—Predictable and Strong (Item no. V1958)
- Cementing Restorations—Proven and Successful (Item no. V1921)
Two-day hands-on course in Utah:
- Restorative Dentistry 1—Restorative/Esthetic/Preventive with Dr. Gordon Christensen and PCC Mentors
- Restorative Dentistry 2—Fixed Prosthodontics with Dr. Gordon Christensen and PCC Mentors
For more information, visit pccdental.com or contact Practical Clinical Courses at (800) 223-6569.
Editor's note: This article appeared in the December 2021 print edition of Dental Economics.
About the Author

Gordon J. Christensen, DDS, PhD, MSD
Gordon J. Christensen, DDS, PhD, MSD, is founder and CEO of Practical Clinical Courses and cofounder of Clinicians Report. His wife, Rella Christensen, PhD, is the cofounder. PCC is an international dental continuing education organization founded in 1981. Dr. Christensen is a practicing prosthodontist in Provo, Utah.




