Patient education and informed consent are mandatory
I feel responsible to educate patients about the various potential treatment plans for their oral conditions, but I don’t know how much detail to include at this time. Patient education is time-consuming and expensive, and it takes me away from providing treatment that brings more revenue into the office. How do I establish trust with my patients that I am providing the best and most economical treatment for them without spending a significant amount of time with them? What amount of education is considered inadequate? Is it the same for every patient and condition?
You have asked several excellent questions, and I will give you my opinions based on many years of clinical experience and my educational psychology background.
Developing trust with a patient is an extremely variable and challenging experience, and it requires a significant amount of patient education. Some patients trust you immediately because they have had friends or associates recommend you. Some have immediate trust in you just because you are a doctor. Still others require numerous clinical experiences with you before trust is developed. However, one thing is for sure—trust is necessary for you to establish a good patient–doctor relationship. So, how do you develop trust?
Informed consent
This phrase is a key factor in establishing trust. Many consider the definition of informed consent to be well-known. It is my observation that informed consent is not well understood by most dentists.
Let’s follow a typical new patient from start to finish using the following scenario:
The patient contacts your office. A congenial and happy front desk person answers the phone and determines as much information as possible about this potential new patient. When was the patient’s last dental treatment? What treatment was done? Was the patient informed of any condition that might need treatment? Does the patient have any oral problems about which he or she knows?
The patient is scheduled for a staff-oriented diagnostic data collection appointment. If significant treatment is anticipated as determined by the first telephone contact, the patient can be scheduled with an educated, qualified dental hygienist or dental assistant. If the apparent complexity of the data collection, diagnosis, and treatment planning will require significant time, there will not usually be time for a prophy on this first appointment. However, if treatment needs appear to be minor, the patient can be scheduled with a hygienist for the minor treatment planning, and a prophy will also be done during this appointment.
When is patient education accomplished? During the upcoming diagnostic data collection appointment, the staff person educates the patient on the necessary treatment. Your staff member must have been educated previously on whatever treatments are commonly accomplished in the practice. Staff members cannot legally diagnose and plan treatment, but they can educate on whatever treatment appears to be needed. Highly complex treatment plans usually require input by both the dentist and the staff person at the end of the data collection appointment.
What informed consent characteristics should be accomplished during the upcoming appointment? During the diagnostic data collection appointment, the following information is provided by staff. If complete, this information is usually considered to be adequate informed consent. To be competent in doing this appointment, staff must be educated on the treatments your practice provides. I suggest frequent staff education sessions for this and other necessary items in your office. This information can be given in handouts, videos, books, pamphlets, before-and-after images of treatment, patient testimonials, and discussion by the staff person and eventually the dentist. There are usually six categories in the informed consent education:
- Alternatives for treatment
- Advantages of each treatment
- Disadvantages or limitations for each treatment potential
- Cost of each treatment
- Risks of each treatment
- What happens if the treatment is not accomplished
The diagnostic data collection appointment (approximately 80 minutes) is accomplished primarily by the staff member and later concluded by the dentist. To begin the appointment, the dentist introduces him- or herself to the patient and advises the patient that the staff person will be collecting diagnostic data to facilitate making a complete treatment plan for those mandatory treatment procedures and also for any elective treatment that may be available. The dentist is not present during this appointment except at the introduction and the end to confirm the data and do the treatment plan. These are the procedures included in this appointment:
- Informational forms, overall health forms, etc.
- Radiograph, panoramic (for all new patients)
- Radiographs, periapical (only for those areas that are not clear or overlapped on the panoramic)
- Radiographs, bitewing. I prefer extraoral bitewings. Conventional, internal bitewings are not as educational for patients due to the limited anatomy shown.
- Radiograph, CBCT (only if implants, complex endo, or impactions are anticipated)
- Casts poured in quick-setting stone (Whip Mix Snap-Stone) and trimmed well
- Patient education on all aspects of the potential treatment
- Intraoral camera tour and images captured of the oral cavity
- Periodontal pocket charting of any areas 3 mm or deeper
- Charting previous restorations and endodontic treatment
- Charting missing teeth
- Charting caries
- Pulp testing of suspicious teeth
- Identifying any potential soft-tissue lesions
- Presence of any occlusal diseases or conditions (grinding or clenching bruxism, primary or secondary occlusal trauma, biocorrosive abfractions, and temporomandibular disorders)
- Other oral pathology
- Blood pressure baseline after the patient has had about 10 calm minutes in the dental chair
- Determination of the patient’s desire for treatment and apparent ability to pay. This step is highly important. The staff person has been with the patient for enough time to have a reasonable idea about the patient’s psychological characteristics and financial condition. This information is significant for the dentist to know as the treatment plan is made. The dentist and the staff person who collected the data can meet privately for a few minutes to discuss the patient’s treatment needs, overall health, and any peculiar characteristics pertinent to potential treatment before the dentist meets with the patient.
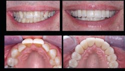
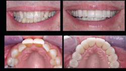
The dentist confirms the data collection and makes a tentative treatment plan in approximately 10 minutes. Several options are given (figures 1–3). Divide and specify mandatory and elective treatments. This helps the patient trust the doctor when the options are explained and if segmented or piecemeal treatment is offered. If specialty treatment is needed, plan this sequentially into the overall treatment plan.
Fee for the diagnostic data collection appointment. It is common knowledge that most dentists do not collect as much data as is described in this article, and many ask how much to charge for such a complete data collection. In my experience, a wise fee concept should include any diagnostic procedures the patient needs as a single fee. I recommend that the fee be adequate to cover the hour the staff person spends with the patient and the average of 10 minutes the dentist spends with the patient.
Summary
Complete treatment plans divided into mandatory procedures and elective procedures provide excellent patient motivation for treatment but are seldom done in many practices. When diagnostic data collection and patient education are accomplished by competent, motivated staff members, dentists are freed to do other revenue-producing procedures, the staff is motivated and educated by the clinical experiences, patients receive far more information about their oral condition at a potentially lower cost, trust is established in the patient because of the completeness of the procedure, and revenue is increased from the abundant educational information dispensed.
Author’s note: The following educational materials from Practical Clinical Courses will help you and your staff learn more about patient education and diagnostic appointments.
Videos
- Efficient Diagnostic Data Collection by Auxiliaries (Item V1136)
- Top Insurance Coding Strategies (Item V4783)
- Simple Patient Education for Every Practice (Item DP50)—23-topic patient education series
Two-day hands-on courses
- Restorative Dentistry 2: Fixed Prosthodontics—with Dr. Gordon Christensen
- Faster, Easier, Higher Quality Dentistry—with Dr. Gordon Christensen
For more information about these educational products, call (800) 223-6569 or visit pccdental.com.
About the Author

Gordon J. Christensen, DDS, PhD, MSD
Gordon J. Christensen, DDS, PhD, MSD, is founder and CEO of Practical Clinical Courses and cofounder of Clinicians Report. His wife, Rella Christensen, PhD, is the cofounder. PCC is an international dental continuing education organization founded in 1981. Dr. Christensen is a practicing prosthodontist in Provo, Utah.




