Quadrant dentistry
Three or four is better!
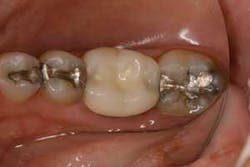
How many times have you seen a quadrant of teeth like this in your practice? (See Figure 1.) I would imagine you see something like this a couple of times a day. What do you tell this patient? Do you focus on the tooth of highest priority? Or, do you offer the patient the option of quadrant dentistry? Presentation of treatment options vary with each dentist’s personality, practice style, training, and experience. In cases such as this, I’d like to explain the advantages of presenting the recommended treatment in a quadrant restorative dentistry format.
Let’s review the clinical findings on these four teeth depicted in Figure 1 -
• No. 28 has an old amalgam with marginal breakdown.
• No. 29 has an MOD amalgam. Radiographically, there is no evidence of decay, but there are some suspicious shadows on the distal lingual margin of the amalgam.
• No. 30 has a 10-year-old PFM crown with radiographic evidence of decay on the mesial margin and a 5 mm pocket associated with a poor marginal fit on the mesial.
• No. 31 has a large, old amalgam with marginal breakdown and a fracture of the distal marginal ridge. The patient reports that this tooth occasionally gives her pain when she’s chewing. During the exam, we were unable to duplicate this pain with fracture testing.
This patient is 35 years old and recently presented to our office for a new-patient exam. Upon completion of the exam, the findings are reviewed with the patient. Figure 1 has been stored in the Image FX® (SciCan) software program. This image is displayed on the monitor, as well as the Gendex digital X-rays. We review our findings with the patient and make treatment recommendations -
• No. 28 has a fairly small restoration, but given the extent of the marginal breakdown, I recommend replacement with a direct composite.
• No. 29 is a suspect for decay. I inform the patient that we could watch this restoration over time, or we could replace it. If we agree to replace the restoration, I recommend an indirect composite inlay.
• No. 30 has an old crown that requires replacement. Of all the teeth in this quadrant, it has the highest priority. I recommend replacement with a new crown.
• No. 31 with its large amalgam and visible fracture requires full coverage to prevent potential tooth fracture. Our recommendation for this tooth is a gold onlay.
Now we have presented our findings to the patient. We ask her how she feels about what she has seen. Her first question is “How much will it cost?” We present her with a printed treatment estimate. Next, she asks if we can make the restorations tooth-colored. We explain that the three teeth anterior to No. 31 will have tooth-colored restorations, but we have recommended gold on the last tooth because it is not cosmetically critical and because gold is the best-fitting, longest-lasting material we can place on a tooth.
Lastly, she asks how long it will take. We tell her that it is really her choice, and explain that we could do one, two, three, or all four at the same time, which would be most efficient for her and for us. We explain that if we do all of them at the same time, we will only have to get her numb twice. Because we are working on the adjacent teeth at the same time, we can prepare the teeth more quickly. We also explain that the restored teeth will be kinder to the gums and be easier for her to clean and maintain. In other words, she will have a healthier mouth and will keep these teeth longer, probably for the rest of her life. We recommend that she strongly consider this option as long as she can afford to do all four teeth at the same time. In the long run, we explain, this will save her a considerable amount of time in our office.
We have found that when we take the time to discuss all the advantages of performing quadrant dentistry, very often the patients request that we proceed by restoring the entire quadrant. At the end of the new-patient appointment, the patient schedules for this quadrant to be restored at a mutually convenient time.
When the patient returns, the quadrant is quickly prepared for the appropriate restorations (Figure 2).
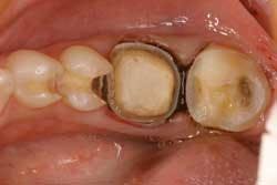
Tooth No. 28 is restored with a direct Class II composite (Premise™, Kerr); Figure 3. A full-arch impression is taken of the remaining preparations (StandOut™, Kerr) and sent to the lab for fabrication (Dental Arts Laboratories, Peoria, Ill.). A three-unit temporary restoration (Luxatemp® Flourescence, Zenith) is placed, and the patient is dismissed. This appointment lasted one hour and 45 minutes.
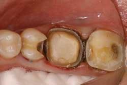
Two weeks later, the patient returns for placement of the final restorations. The gold onlay is cemented into place with a self-adhesive resin cement (MaxCem™, Kerr). Then a rubber dam is placed and the indirect composite (belleGlass™ NG, Kerr) inlay and the zirconium crown (Cercon®, Ceramco) are cemented into place using a dual-cure composite resin cement (Vitique®, Zenith). The occlusion is adjusted and the patient is dismissed. This appointment takes 45 minutes. The final result is a complete quadrant of restorations that will last the patient many years (Figure 4).
When we review the economics of this process for the dental practice as well as the patient, the benefits are obvious. The patient spent a total of 2.5 hours in our office. If we had restored each tooth individually, we would have scheduled -
✗No. 28 direct composite - 30 minutes
✗No. 29 indirect composite inlay - first appointment 45 minutes; delivery appointment 30 minutes
✗No. 30 all-ceramic crown - first appointment 75 minutes, delivery appointment 45 minutes
✗No. 31 gold onlay - first appointment 60 minutes; delivery appointment 45 minutes
The patient would have had seven appointments in our office for a grand total of 5.5 hours. And, instead of two injections, she would have had seven!
We have found that when we present these facts to patients at the treatment presentation, they are likely to schedule for quadrant dentistry. Most patients would prefer to decrease the amount of time they spend in the dental office as well as reduce the number of injections.
For the dental practice, it is far more efficient and profitable to perform quadrant dentistry. The total price for treating this quadrant was $2,780. The office produced $1,112 per hour. In contrast, if each tooth were restored individually, the office would produce $505 per hour. From a business standpoint, the difference in profitability is significant and the benefits are obvious.
Dentists should always consider presenting the option of quadrant dentistry to their patients. Give patients the opportunity to decide if they’d like to complete their dental treatment in a more efficient manner. Dentists may be fearful of patients balking at the higher cost of quadrant dentistry, but when patients see the benefits of reduced time, visits, and injections, they often will elect to proceed in a quadrant fashion.
Train your staff to begin thinking in quadrants. Oftentimes patients will rely on a staff member to help them make a decision. If your staff understands the benefits of quadrant dentistry, they will be better able to guide the patient in support of your recommendation.
If you are not consistently providing your patients with the option of quadrant dentistry, you may be missing out on providing an option your patients would prefer - and you are missing out on the opportunity to increase the efficiency and profitability of your office.
Dr. Gary Radz maintains a full-time private practice in Denver, Colo. He is a clinical associate professor at the University of Colorado School of Dentistry. Dr. Radz recently received his fellowship from the Academy of Comprehensive Esthetics. He lectures internationally on the materials and techniques used in esthetic dentistry. Dr. Radz may be contacted at www.garyradz.com.




