The Class II restoration: Work harder or work smarter
Jason H. Goodchild, DMD
There are two basic ways to increase profitability in the dental office-work harder or work smarter. Working harder means seeing more patients, doing more procedures, and practicing at a faster pace. Working smarter includes increasing efficiency of personnel, technology, and supplies. The two are not the same, and do not always mean working faster.
I define efficiency in the dental office as not only working faster, but doing the job correctly the first time. Another definition of working smarter involves incorporating systems designed to maximize workflow. In doing so, maximum work can be done without errors, redos, or bottlenecks.
ADDITIONAL READING | No, it's not a composite resin: A closer look at a new restorative material
Because almost half of all direct restorations are Class II composites,1 this procedure is an excellent example of an opportunity to work smarter rather than harder. In my office, I can complete a single Class II (two-surface) posterior composite in approximately 30 minutes. To accomplish this, hurdles that must be overcome include patient anesthesia, caries removal, tooth preparation, isolation, adhesion, material placement, light curing, occlusal adjustment, and finishing/polishing of the restoration.
What about the costs involved in completing the procedure and the revenue generated? It is estimated that a Class II composite restoration consumes approximately $30 in supplies and another $20 in fixed costs (e.g., staff wages, utilities, etc.). Revenue is not always easy to determine based on the presence or absence of insurance participation and reimbursement. Again, in my office, the full fee for a Class II composite is $225. If I were to complete two Class II composite restorations on two different patients, I could generate $450 of revenue, which I generally consider to be minimally acceptable from each dentist in my practice. But if those same restorations are completed on two patients who have dental insurance, and if I participate with the insurances, I will be accepting a lower fee for the same work involving the same overhead. The average Class II reimbursement of the insurance plans I accept is $115. By doing two Class II restorations on two insurance patients, I would generate approximately $230 for the hour against $100 of associated overhead costs, far below my stated goal.
ADDITIONAL READING | Pediatric zirconia crowns: Changing pediatric restorative dentistry
Quadrant dentistry can certainly offset the decreased profit associated with accepting insurance reimbursement, but not every patient needs to have multiple restorations done. To make matters worse, if the patient has postoperative issues (e.g., sensitivity, open contacts, occlusal adjustment), additional chair time may be required. This can further decrease profit margins, because needed space and resources are diverted from other revenue-generating procedures.
So how do we work smarter? A streamlined approach in both technique and materials can increase efficiency and ensure positive outcomes.
Sectional matrix system
Sectional matrix systems help ensure tight, accurate contacts on all Class II restorations. The Palodent Plus Sectional Matrix System (Dentsply Sirona Restorative) has rings that can be configured for multiple restorations at once, all in a quadrant case for increased efficiency. The WedgeGuard protects the adjacent tooth, allowing you to prep more quickly.
Universal dental adhesive
Depending on preparation size, depth, and available enamel, the type of etching method used can influence bond strength and postoperative sensitivity levels. Prime&Bond Elect Universal Dental Adhesive (Dentsply Sirona Restorative) is a one-bottle solution that allows practitioners to elect either a total-etch, self-etch, or selective-etch technique, according to the clinical situation. This flexibility can simplify chairside decision making and streamline adhesive inventory.
Posterior bulk-fill flowable base
Minimizing the potential for polymerization shrinkage stress and maximizing adaptation of restorative material helps mitigate the potential for sensitivity and recurrent caries. After isolation and adhesion, the first layer of restorative material should be placed using a flowable composite such as SureFil SDR flow+ bulk-fill flowable composite (Dentsply Sirona Restorative), which can be placed in up to 4 mm increments at a time. Figures 1-14 show two Class II restoration cases from start to finish.
Figure 1: Preoperative view of tooth No. 29, showing distal shadowing that indicates the presence of decay.
Figure 2: Preparation of tooth No. 29 with the Palodent Plus WedgeGuard in place. Placement of the WedgeGuard allows for faster preparation and increased confidence that iatrogenic damage can be prevented.
Figure 3: Completed preparation on tooth No. 29 with exposed dentin and remaining enamel. Selective enamel etching using 34% phosphoric acid applied for 15 seconds.
Figure 4: Palodent Plus Sectional Matrix System placed. Prime&Bond Elect Universal Adhesive is applied to the entire preparation and agitated for 20 seconds. After air drying the adhesive for five seconds, the adhesive is light cured for 10 seconds.
Figure 5: To seal the proximal box, SureFil SDR flow+ bulk-fill flowable composite (Universal Shade) is placed in up to a 4 mm increment. Because of its low viscosity, SureFil SDR flow+ provides excellent adaptation to irregular cavity geometry.
Figure 6: SmartLite Focus Pen Style LED Curing Light (Dentsply Sirona Restorative) is used to cure the SureFil SDR flow+ bulk-fill flowable composite for 20 seconds.
Figure 7: TPH Spectra Universal Composite Restorative LV shade A2 (Dentsply Sirona Restorative) is used to complete the occlusal 2 mm of the restoration.
Figure 8: Enhance Finishing System (Dentsply Sirona Restorative) is used to contour and finish the restoration on tooth No. 29.
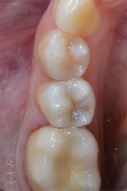
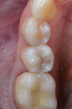
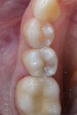
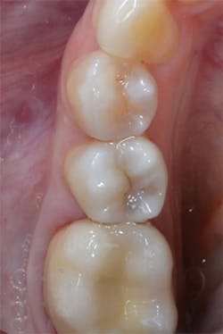
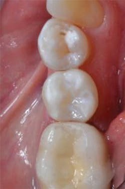
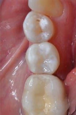
Figure 9: The completed restoration on tooth No. 29.
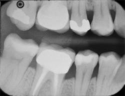
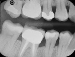
Figure 10: A bitewing radiograph showing the completed restoration on tooth No. 29.
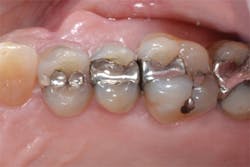
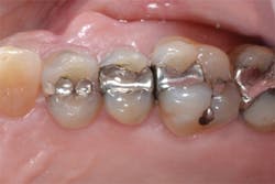
Figure 11: Preoperative view of teeth Nos. 4 and 5. The treatment plan includes composite restorations.
Figure 12: Final preparations on teeth Nos. 4 and 5. The Palodent Plus Sectional Matrix System has been used to isolate the MOD prep on tooth No. 4 and MO prep on tooth No. 5. The Palodent Plus Sectional Matrix System can be configured to restore multiple surfaces and multiple teeth in the same quadrant.
Figure 13: View of teeth Nos. 4 and 5 after curing the final occlusal layer of TPH Spectra composite.
Figure 14: Final restorations on teeth Nos. 4 and 5.
Reference
1. American Dental Association Procedure Recap Report. Chicago, IL: American Dental Association; 2006.
Jason H. Goodchild, DMD, received his dental training at the University of Pennsylvania School of Dental Medicine, where he holds a faculty position as a clinical associate professor in the Department of Oral Medicine. Dr. Goodchild is a research dentist at Dentsply Sirona Restorative and involved in educating dentists on new materials and techniques to improve clinical practice. He has published numerous articles and lectures on a variety of topics, including treatment planning, treatment of medical complex patients, restorative dentistry, pharmacology, and emergency medicine in dentistry.














