Short–Term Orthodontics — a Gold Mine for General Dentists
by Ryan Swain, DMD
For more on this topic, go to www.dentaleconomics.com and search using the following key words: short term orthodontics, gold mine, general dentist, profitability, Dr. Ryan Swain.
Every dentist wants to find new ways to increase profitability, while at the same time increasing satisfaction and decreasing stress. There is a huge profit center available that meets these criteria and that dentists from the U.S., Canada, and U.K. are discovering in droves. It is called short-term orthodontics, and it's exploding right before our eyes. Short-term orthodontics is similar to conventional orthodontics in that it involves the use of brackets and wires to move teeth. However, it is a revolutionary shift in treatment philosophy that can greatly benefit our patients and practices.
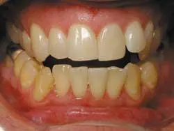
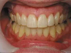
Adult patients with crooked teeth are usually left in "cosmetic limbo" when they refuse conventional orthodontic treatment. The long time period usually associated with conventional orthodontics, combined with the appearance of metal brackets and wires, result in an extremely low case-acceptance rate with which most dentists are all too familiar. Some of these patients can be helped with porcelain veneers, but most are not good candidates. Short-term orthodontics, or STO, is an effective, conservative, and reasonable treatment option for adult patients with misaligned teeth. The basic mindset behind STO is to give adult patients smiles that are esthetic, and to do it in a reasonable amount of time — around six months
The treatment goal is different
The short treatment times associated with STO are the result of a shift in treatment goals typically associated with conventional orthodontics. During the first four to nine months of conventional treatment, most of the cosmetic tooth alignment is achieved. The remainder and bulk of the conventional treatment time is spent correcting the patient's angle classification and creating ideal root angulation/inclination.
STO treatment focuses on addressing patients' chief cosmetic complaints while not attempting to alter angle classification. This philosophy can be compared to cosmetic treatment with porcelain veneers, which also does not change angle classification. However, STO has many benefits for both dentists and patients when compared to the use of veneers. STO allows us to address the primary issue at hand: improper tooth position. If teeth are misaligned, the most appropriate and conservative treatment involves orthodontic tooth movement rather than masking the problem.
What about root resorption and occlusion?
STO treatment seems to make remarkable common sense upon first inspection, but valid questions concerning root resorption and occlusion usually arise. The first question most dentists ask when they learn about STO is, "Is root resorption a problem?"
The answer to this question is definitely "no." Studies show that root resorption is typically associated with heavy forces applied over long periods of time. STO incorporates light forces over short periods of time. The short treatment times associated with STO are a result of striving for different goals than conventional orthodontics and not a function of moving the teeth more rapidly.
Occlusion is another area that should be understood when considering the addition of STO to a dental practice. We were all taught in dental school that the goal of orthodontic treatment is a Class 1 occlusion.
So, the idea of using brackets and wires to move teeth, while not always finishing with an ideal Class 1 occlusion, may at first seem unconventional to some dentists. However, a few important concepts should be considered:
- The literature shows overwhelmingly that there is no relationship between angle classification and TMD signs/symptoms
- Straightening teeth without altering angle classification can provide a dramatic cosmetic improvement and does not increase risks of dysfunction or pain
An ideal Class 1 occlusion is usually the most cosmetic occlusal relationship. However, there is little evidence that demonstrates that a Class 1 provides any tangible functional benefits. In fact, the literature and our own experiences show us that people with all types of dental relationships can function adequately and without pain.
Because an ideal Class 1 relationship is highly esthetic, it would be favorable if every adult patient with crooked teeth would undergo orthodontic treatment for as long as it takes to reach the ideal; however, most dentists would agree that fewer than 5% of adult patients are willing to undergo conventional orthodontics.
It is my firm belief that these patients should be given a reasonable orthodontic alternative rather than 1) conventional braces, 2) porcelain veneers, or 3) no treatment.
Orthodontic options for patients — and you
Invisalign treatment can be a very good alternative for adults who do not want to wear braces; however, more and more dentists are discovering that some of the costs and limitations of tooth movement associated with aligner therapy can create frustration for them and their patients.
Certain types of tooth movements are virtually impossible with aligners, and predicting treatment times is difficult. Possessing the ability to use brackets and wires to move teeth provides general dentists with tremendous freedom and control.
Another important aspect of STO treatment is the use of clear brackets and tooth-colored wires. Length of treatment is the No. 1 obstacle adults face when considering orthodontic treatment, but the appearance of metal braces is a close second.
The attractiveness of short treatment times, combined with tooth-colored brackets and wires, is the "one-two punch" that makes STO so powerful.
The demand for STO is strong and the procedure can be very profitable. Case fees are similar to conventional cases, but the treatment times are typically 75% shorter. Although tooth movement is typically not as comprehensive, adult patients are willing to pay for this type of treatment.
It provides patients with a smile they can be proud of and does not involve the "two years of metal braces" they typically associate with orthodontic treatment.
Much of the procedure can be delegated to staff members, which is a very attractive feature of any profit center. The use of indirect bonding trays makes bonding the brackets extremely simple and mostly delegable. The composite brackets are positioned on models of the patient's teeth by a lab technician, and a two-layer bonding tray is fabricated for each arch.
The trays are returned to the dentist, and now, applying the braces is as easy as seating a bleaching tray. Indirect bonding is the key component that allows general dentists to quickly and reliably implement orthodontics into their practices. It reduces chair time to a minimum and allows most of the procedure to be accomplished by dental assistants.
How to learn more and get started
Once dentists understand the goals of STO treatment and recognize the potential for profitability, they want to learn how to do it. The concepts and mechanics used can be learned very easily. Compared to many of the tedious procedures that dentists do every day, cosmetic orthodontics can be relatively simple. There are some basic concepts that must be grasped.
Patient communication and case selection are of utmost importance. Similar to aligner therapy and functional appliances, STO can be learned with just a few days of training.
Once the basics are understood, much of the treatment involves the application of tried and tested methods and the use of common sense.
Most dentists strive to provide high-quality dentistry with as little stress and as much profitability as possible. STO provides a way for general dentists to accomplish all of these things in a fresh and systemized manner. The ease in which the procedure can be learned and implemented, combined with the life-changing benefits for dental patients, are just a few of the reasons why this exciting new profit center is taking hold across the country and around the world.
Dr. Ryan Swain is a general dentist. His "Six Month Braces and Cosmetic Dentistry" practice is located in Rochester, N.Y. He is the chief clinical instructor and product coordinator for Six Month Smiles™, as well as the author of "Short Term Orthodontics: The Complete Training Manual for General Dentists." Six Month Smiles provides STO training and lab services for general dentists. Visit www.6MonthSmiles.com for more information. Contact Dr. Swain at [email protected].





