Bulk-fill composites from the trenches
As a general dentist practicing in a small, rural, blue-collar town in the state of Washington, and as a dentist who runs a practice focused on cosmetic and restorative dentistry, I still rely heavily on meeting my patients’ routine needs to hit my revenue targets. Therefore, the quest to find time-saving materials and techniques - ones that do not compromise quality - is always on my mind.
My introduction to bulk-fill composites came approximately five years ago as a result of my membership with the Spear Education Faculty Club. At that time, we were given the opportunity to test and provide product feedback to manufacturers on a few selected products. One of those products was Ivoclar Vivadent’s Tetric EvoCeram Bulk Fill. Like most general dentists, I was intrigued by the promises of bulk-fill composites, so agreed to provide user feedback about this already scientifically tested material. I continue to use this product in my practice today in some specific applications. This article will focus on what I have learned about this material in recent years: the challenges, the advantages, the indications, and a brief summary of the technique used for placing the material.
Challenges
Tetric EvoCeram Bulk Fill has a low viscosity, which makes it challenging to adapt to all aspects of the cavity preparation. It also tends to move when manipulated. For example, when the material is placed in bulk on a conservative Class II restoration, I’ve noticed that while I’m adapting the material to the lingual cavosurface margin, the resin often starts to pull away from where I had already adapted the buccal cavosurface margin. I then have to carefully readapt the buccal margin without, in turn, creating an open margin on the lingual.
Shade matching is also a challenge, depending on how much you obsess about these things. In my five-plus years of placing the composite, I can’t recall a single patient complaining of the shade match. As an American Academy of Cosmetic Dentistry-accredited dentist with a higher level of obsessiveness, and one who is trying to stay ahead of my patients’ expectations, I have found that the material generally blends quite well. However, it occasionally tends to be either slightly too low or too high in value. It comes in three shades: a universal A shade (IVA), a universal B shade (IVB), and a white shade (IVW) for light or deciduous teeth. For Class II restorations, there is an insignificant difference between the A and B shades. The IVA, due to its higher level of translucency on deeper preparations, can appear slightly too low in value, whereas the IVW, because of its low translucency, can often be slightly too high in value.
Advantages
Having a material that can be placed more quickly reduces stress. Also, it is sometimes critical to the success of the restoration due to patient challenges like isolation difficulties and patient cooperation. Tetric EvoCeram Bulk Fill is especially helpful in placing restorations for children and adults who have limited tolerance for dental procedures.
I like the simplicity of shades because it allows me to limit the product’s use to areas of low esthetic demand and to patients I know have low esthetic concerns. In addition, these restorations are easily shaped and polished.
Indications
Tetric EvoCeram Bulk Fill is indicated for use in Class I, Class II, and Class V restorations. However, due to its handling properties, I tend not to use it for Class V restorations. The product is my go-to solution for deeper Class II composites in order to reduce the number of increments required for filling the restoration - especially for patients where prolonged isolation is more difficult.
Technique
In terms of technique, isolation and standard tooth preparation for composite restorations are used. Using a sectional matrix technique provides the most predictable way to establish a solid and nicely contoured proximal contact.
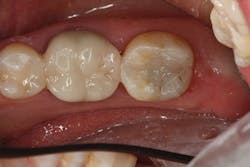
The difference in using this product over standard- or non-bulk-fill composites comes in the filling technique. The manufacturer states that you can predictably cure an increment of this composite up to 4 mm in depth. This assumes the light energy coming from your curing light is ideally positioned and is functioning properly (power intensity of 1000 mW/cm2 or greater). For carious lesions that are relatively small to moderate in size (figures 1a and 1b), this translates, in general, to being able to place one increment of composite that fills partway up the proximal box to the level of the contact and onto the occlusal pulpal floor (figure 2). The second increment could then be placed on top, which would fill the rest of the restoration.
However, as mentioned earlier, getting the composite adapted to both the buccal and lingual cavosurfaces at the same time can be tricky. To address this, I have found it easier to place one increment of resin in a way that covers the entire buccal side of the preparation, including the marginal ridge area (figure 2), and light cure it prior to finishing the fill with the lingual increment. This requires one extra step, but it gives me the peace of mind that I am reducing the polymerization shrinkage on the opposing cavosurfaces as well as eliminating the back and forth nature of trying to adapt the composite to both sides of the cavity preparation (figure 3).
The contouring and primary anatomy can be placed with a flame-shaped fine diamond. Next, the occlusion is checked and refined on the restoration. Finally, the restoration can be polished easily with a two-step technique. I like to use polishing cups so I can polish both the occlusal and interproximal without having to change to a different polishing point. I first use Enhance (Dentsply Sirona), which can help shape as it polishes, and the final high shine is placed with the PoGo cup (Dentsply Sirona; figure 4).
Summary
Having a bulk-fill composite in my repertoire of materials has been a helpful addition to lower stress and increase productivity, while still providing an excellent restoration for patients. I anticipate bulk-fill materials will continue to improve in their handling and esthetics as manufacturers continue to progress and innovate this class of restorative material.
Douglas S. Milner, DDS, maintains a private practice in Wenatchee, Washington. He is an accredited member of the American Academy of Cosmetic Dentistry and a member of the Spear Education visiting faculty. He is passionate about providing optimal occlusion and focuses on complex restorative and esthetic dentistry.





